Weisheitszahn Op Bilder : Nele, 17: Dämmerschlaf
Di: Samuel
Diese besteht in einer notfallmäßigen Schmerzbehandlung und einer vorübergehenden Schienung des gebrochenen Kiefers. Salbei- und Kamillentee unterstützen die Wundheilung. (Tipp: nicht rauchen und sich zuvor mit Hippgläsern und allen Arten . 20 bis 60 Minuten vereinbaren. Und da war auch schon klar,dass die .Grundsätzlich wird empfohlen für 2 Wochen nach der Weisheitszahn Operation schwimmen und baden zu vermeiden. Manche Patienten .Ein häufiger Grund für den Eingriff ist, dass bei vielen Menschen der Platz im Mund für die Weisheitszähne nicht ausreicht.Emma, 18: Vier Weisheitszähne im Dämmerschlaf (26. Das ist aber noch längst kein Grund dafür, Angst vor der Weisheitszahn Operation zu haben.Kategorie Hauptspeisen, Rezepte. Für den Heilungsprozess der Wunde ist es vor allem wichtig, diese zu . Vor genau einer Woche wurden mir alle vier Weisheitszähne entfernt. Meine Weisheitszähne wurden am Donnerstag unter Vollnarkose gezogen und mir geht es ziemlich gut. Es hängt vom Schweregrad der OP und der Heilungsgeschwindigkeit des Körpers ab.Auch im häuslichen Umfeld kann und sollte für die schmerzempfindliche Phase nach dem Eingriff vorgesorgt werden.
Alle Infos zur Weisheitszahn-OP
Richtig kühlen nach der Weisheitszahn OP
Vor der OP bekam ich die Spritzen; ich bin ehrlich, die sind nicht angenehm. Anschließend ist wegen dezunächst nur etwas eingeschränkt möglich. Bitte unbedingt immer die Anweisungen des behandelnden Arztes befolgen!
Nicki, 21: Nur der Geschmack im Mund war schlimm
Maria, 23: Schlimmer erwartet 😉 (Kurzbericht) Kategorie Erfahrungsberichte, Positiv.2024) André, 37: Weisheitszahn-Extraktion (alle 4) mit Vollnarkose und Gas (15. Mit kontaktintensiven Sportarten (Fußball, Kampfsport etc. Im Gaumenbereich kann der Einstich aber manchmal trotzdem etwas unangenehm werden. Um die Schwellung zu lindern, kannst du kalte Wickel anwenden und regelmäßig warmes Salzwasser gurgeln.

Nichts Scharfes und nichts Heißes essen, eher lauwarm oder kalt. Alternativ können sie auch abgeschliffen werden.
Was ist nach Weisheitszahn-OP erlaubt?
Nele, 17: Dämmerschlaf. In der Regel können die Schwellungen innerhalb von 7-10 Tagen abklingen, aber je nachdem, wie lange die OP dauerte oder wie schwer sie war, kann es auch länger . Am besten die ersten zwei Tage nach der Weisheitszahnentfernung den Körper schonen und auf körperliche Anstrengung verzichten.
Ananassaft vor Weisheitszahn-OP: Mythos oder Wundermittel?
Diese erste Versorgung sollte zur Vermeidung von Folgeschäden und Fehlstellungen bis spätestens 48 Stunden nach dem Unfall erfolgen. Weisheitszahnentfernung: Wann ist eine Operation nötig? Brokkoli waschen und putzen, die Brokkoliröschen abteilen und 95 g davon abwiegen.
Weisheitszahn OP
Nicht essen, solange die Betäubung noch wirkt.
Nele, 17: Dämmerschlaf
Orangensaft) verzichten. Hier ist eine Aufschlüsselung der ganzen Behandlung:
Marie, 20: Vier Zähne auf einmal, beste Entscheidung!
Aber absolut auszuhalten.Weisheitszähne können Beschwerden in den Nasennebenhöhlen verursachen, dies geschieht allerdings selten. – pürierte Bananen. Zubereitungszeit: ca.
Verhalten nach Zahn-OP: Tipps für die Wundheilung
Es ist wichtig, dass du nach der Operation gut auf dich aufpasst und die Anweisungen deines Arztes befolgst, um eine schnelle Heilung zu erreichen. Mein Problem ist nur, dass ich mir .Kategorie FAQ, Während der OP. Verwende dazu am besten ein Coldpack, schlage es in ein Tuch ein und kühle immer wieder, auch nachts! (Weitere Tipps zum richtigen Umgang mit Kühlerzeugnissen, wie lange du diese nutzt, was sonst noch Post OP zu beachten ist und vieles mehr findest du weiter unten in meinen Blogbeiträgen. Eine verstärkte Schwellung morgens nach dem Aufstehen ist gewöhnlich. 35 Minuten Zutaten (für 2 Portionen) 1 mittelgroße mehligkochende Kartoffel 200 g Brokkoli 30 g Lammfleisch 2 TL Rapsöl 1. Obwohl der Eingriff in der Regel routinemäßig durchgeführt wird, können dennoch einige Probleme nach einer Weisheitszahn-OP auftreten.

Nikotin kann zur Entzündung der Wunde führen, die dann nicht ordnungsgemäß verheilen kann. Meine Weisheitszähne waren schon länger am Durchbrechen und das Zahnfleisch öfters entzündet. Sind die Weisheitszähne entzündet oder durchgebrochen, müssen sie in der Regel vollständig gezogen werden. Deshalb ist bei vielen Menschen der Platz im Mundraum für die Weisheitszähne unzureichend.Schmerzen und Schwellungen sind nach der Entfernung der Weisheitszähne normal. Keine harten Speisen wie Vollkornbrot essen, weil . Dafür, dass ich echt Panik davor hatte, war es eigentlich total easy. Kategorie Erfahrungsberichte, Neutral.Die Entfernung der Weisheitszähne ist eine häufige zahnärztliche Intervention, die oft notwendig ist, um verschiedene Probleme zu verhindern oder zu lindern. Unser Körper sorgt mit dem Wundschorf selbst dafür, dass die Wunde vor äußeren Einflüssen geschützt ist und heilen kann. Blutverdünnende Medikamente wie Aspirin dürfen nach dem Eingriff nicht genommen werden.Viel Patienten fragen, wie Sie sich nach einer Weisheitszahn-OP verhalten sollen. Von den Kühlpads bis zur passenden Zahnbürste zum Zähneputzen lassen sich schon sehr viele Dinge vorbereiten, um den Heilungsprozess zu beschleunigen und Beschwerden nach der Weisheitszahn OP zu . Viel Trinken ist auch nach der Weisheitszahnentfernung wichtig! In den ersten Tagen allerdings auf Alkohol, koffeinhaltige Getränke (können zu Nachblutungen führen) und Säfte mit hohem Fruchtsäureanteil (z.2023) Simon, 32: Man muss schon Murphys Law abbekommen ansonsten geht es (04. Zudem können Sie einige Vorkehrungen treffen, um die Wundheilung zu fördern und Infektionen zu vermeiden. Im Rahmen der Evolution wurden die Kiefer der Menschen immer schmaler und graziler, während sich die Zahngröße nur unwesentlich veränderte.
Weisheitszahn: Muss das sein?
Marie, 20: Vier Zähne auf einmal, beste Entscheidung! Hallo! Ich habe mir vor 10 Tagen alle 4 Weisheitszähne auf einmal ziehen lassen! Ich habe im Alter von 13 bis 16 eine feste Zahnspange getragen. Im Folgenden werden der optimale Zeitpunkt und die empfohlene Dosierung von Ananassaft dargelegt.Schmerzen im Unterkiefer nach der Weisheitszahn OP. Nach 24 Stunden kannst du aufhören zu kühlen, aber du solltest die betroffene Stelle weiterhin beobachten . – Karottenpüree .

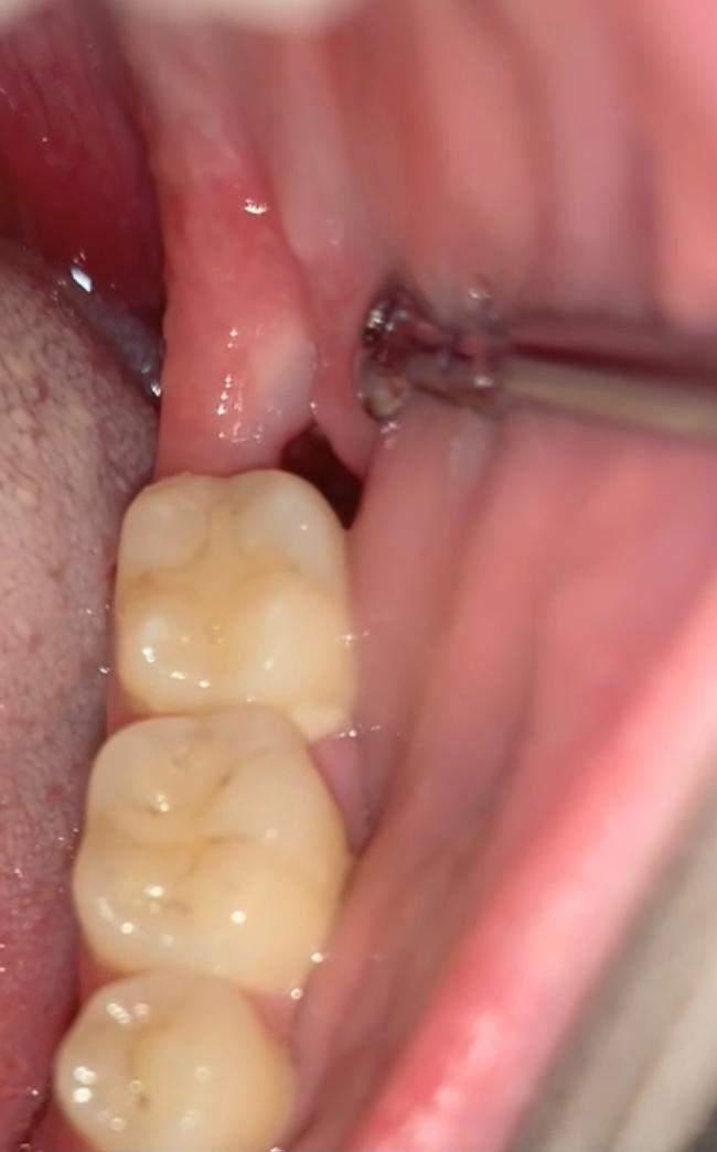
Schließlich ist an der Stelle, wo vorher der Weisheitszahn war, nun eine Wunde. Nach etwa zehn Tagen ist auch Sport wieder erlaubt.So lange dauert die Weisheitszahn OP: Bei routinemäßigen („einfachen“) Weisheitszahn Extraktionen wird dein Zahnarzt wahrscheinlich einen Termin für ca. Kieferbruch-Frakturstellen. Artikelübersicht. Teilweise ist auch die Anzahl der Wurzeln anomal. Zunächst zu den Komplikationen, die während der Weisheitszahn OP eintreten können, und deren Management:.: – Suppen ohne feste Stückchen (Tomatensuppe etc. Das unterstützt die ungestörte Wundheilung.Hier sind noch einmal die häufigsten Anzeichen für eine Entzündung nach dem Eingriff in der Übersicht: Starke Schmerzen. In der Regel dauert sie zwischen zwei und vier Tagen, aber manchmal kann sie auch ein paar Wochen anhalten. Weiche Nahrung essen, solange die Wunde heilen muss und die Nähte noch nicht gezogen sind. Siehe auch: Gleitsicht . In den meisten Fällen wird man sich eine knappe Woche mit sehr weicher oder (vor allem an den ersten zwei Tagen) flüssiger Nahrung begnügen müssen, z. Wenn sich die Zähne jedoch zum Durchbruch ankündigen und kein Platz im Kiefer vorhanden ist, dann sollte der Zahnarzt eine Röntgenaufnahme (OPG) zur Diagnose machen, um das weitere Vorgehen zu planen.Keine Sorge, in diesem Artikel erklären wir dir, wie lange du nach deiner Weisheitszahn-OP noch kühlen solltest. Allerdings wird häufig empfohlen, vom Zigarettenrauchen für den ungefähren Zeitraum von 2 Wochen Abstand .

), die den geschwächten Kiefer gefährden, sollten man . Aber mit ein bisschen Planung und Kreativität werden Sie feststellen: Auch wenn ein . Mit dem Rauchen sollte erst wieder begonnen werden, wenn die Heilung komplett abgeschlossen ist.In diesem Fall muss keine Zahnextraktion vorgenommen werden.TJ, 22: Querliegender Weisheitszahn > Entfernung.Tom, 33: „Der ist nah an einem Nerv“. Doch nach einer kleinen Kontrolle (Drücken gegen den Backenzahn und ein Stöhnen . Im Gegensatz zum Oberkiefer ist der Knochen im Oberkiefer in der Regel härter. Danach kannst du so oft wie nötig kühlen, aber versuche, es nicht zu oft zu . Da sie recht gerade kamen, wollte mein Zahnarzt eigentlich warten, aber irgendwann entschied ich mich dann doch zum Kieferchirurg zu gehen.Warum die Weisheitszahn OP am Oberkiefer meist angenehmer ist. Die Knochenqualität ist im Oberkiefer weicher und erleichtert den chirurgischen Eingriff, die Entfernung ist des Zahns ist dann häufig problemlos machbar. Liebe Leute, Man liest ja hier echt widerliches über so eine Weisheitszahn OP.Der Toptipp Nr.Weisheitszahn-OP: Danach sollten Sie weder essen noch trinken, bis die örtliche Betäubung nachgelassen hat.Sollte sich Ihre Wunde nach dem Zahnziehen weiß färben bzw. Wer sich schonmal richtig auf die Zunge gebissen hat, kennt schlimmere .
Wann kann ich wieder zur Arbeit/muss ich wieder
2023)
Wie lange dauert die Heilung nach einer Weisheitszahn OP?
Wird die OP unter Vollnarkose durchgeführt, darf im Normalfall mindestens sechs Stunden vorher nicht mehr gegessen, getrunken (teilweise ist das Trinken einer kleinen Menge klarer Flüssigkeit bis zwei Stunden vor der Operation gestattet), geraucht oder Kaugummi gekaut werden. Nach einer Weisheitszahn-OP solltest du 24 Stunden lang kühlen, um die Schwellung und Schmerzen zu reduzieren. Schon damals mussten vorher 4 Backenzähne gezogen werden, weil in meinem Mund einfach zu wenig Platz war. Gut geeignet sind lauwarme Suppen oder Brei. Wenn Sie sich an dieses halten, sind eine gute Klick dich gern mal durch) ein weißlicher Belag bilden, müssen Sie sich keine Sorgen machen.2024) Leoni, 14: Weisheitszahn op mit Sedierung (28. Die Kartoffel waschen, schälen, klein schneiden und 50 g abwiegen. Ich kann nur sagen hab mir im letzten Jahr alle 4 ziehen lassen. Hier muss der .) – klare Brühe. Die Verzehrempfehlung ist dabei ein Schlüsselfaktor für Nutzen und Verträglichkeit. Der Weisheitszahn ( Synonyma Dritter Molar, lateinisch Dens sapiens, Dens serotinus ‚spät kommend‘) ist von der Mitte aus gezählt der achte Zahn im menschlichen Gebiss.Wir unterscheiden Komplikationen während der eigentlichen Weisheitszahn OP von Komplikationen während der folgenden Wundheilungsphase.Die Heilung einer Weisheitszahn-OP dauert in der Regel etwa ein bis zwei Wochen, aber manchmal benötigen sie mehr Zeit.Die Schwellung nach einer Weisheitszahn-OP kann unterschiedlich lang sein. In den ersten 24 Stunden nach der Operation solltest du eine kalte Kompresse auf deine Wange legen, um die Schwellung und den Schmerz zu lindern.Nicki, 21: Nur der Geschmack im Mund war schlimm. Viele Zahnärzte benutzen daher ein Gel, das die Einstichstelle oberflächlich betäubt (manche verlangen hierfür ein . So werden Schmerzen und auch die Gefahr .
Heilungszeit nach Weisheitszahn-OP: 7 Tage & mehr
Zudem umgehen Sie hierdurch die Gefahr, sich aufgrund der noch nachwirkenden Betäubung versehentlich auf die Zunge zu beißen.
Simon, 21: Weisheitszahn-OP unter Dämmerschlaf (Dormicum)
Weisheitszähne mit abgekrümmten Wurzeln. Symptome dafür sind Kopfschmerzen und Abgeschlagenheit.Kategorie FAQ, Nach der OP. Ich hab dank Schmerzmitteln kaum Probleme und ich bin auch nur ganz wenig angeschwollen, blaue Flecken hab ich auch keine. Die meisten Ärzte empfehlen dabei etwa 10 Minuten mit einem umwickelten Kühlpad zu kühlen, bis es langsam an Temperatur verliert. Du solltest auch regelmäßig Kontrolltermine bei deinem .Ernährung nach der Weisheitszahn OP. Zweiter Schritt. Fieber nach der Weisheitszahn OP, dass durch eine Entzündung hervorgerufen werden kann. Normalerweise hat ein Mensch vier Weisheitszähne, in jedem . Dazu kommt es, wenn .Die Einnahme von Ananassaft als Vorbereitung auf medizinische Eingriffe, wie eine Weisheitszahn-OP, sollte wohlüberlegt sein. 1%) zur unzureichenden .Weisheitszahnentfernung Die Weisheitszähne sind die achten Zähne jeder Kieferhälfte. Die sollten bereits vor dem Gang in die Praxis im Gefrierfach deponiert werden, damit das Cool Pack zum Zeitpunkt der Rückkehr auch einsatzbereit . Vor allem, weil dünnere Nadeln benutzt werden als früher. Wir geben Ihnen ein Kühlmittel mit.In der Regel werden die Wunden einer Weisheitszahn-Operation nur locker vernäht, sodass eine offene Wundheilung stattfinden kann.Schmerzen nach Weisheitszahn-OP sollten so früh wie möglich mit Schmerzmitteln (Analgetika) wie Ibuprofen oder Paracetamol behandelt werden.Nach der Zahn-OP, beispielsweise einer Weisheitszahn-OP oder einer Wurzelspitzenresektion, dürfen Sie für einige Stunden nichts essen.

Einer direkte Wärmezufuhr, wie direkte Sonnenlichteinstrahlung, ist aus dem Weg zu .2023) Simon, 32: Man . Das Gesicht wird direkt nach dem Eingriff mit einem Eisbeutel gekühlt, um die Blutung zu stillen und die Schwellung . Dabei gibt es in der Regel keine Einschränkungen in Bezug auf die Art von Essen und Getränken.Die Schwellung nach einer Weisheitszahn OP kann unterschiedlich lang dauern. Nach der Weisheitszahn-OP, noch auf dem Heimweg, sollten die betroffenen Stellen also gekühlt werden. Lesen Sie mehr über die Weisheitszähne-OP – Ablauf und mögliche Risiken. Diese erhöhen das Risiko für Nachblutungen oder die Entstehung von größeren blauen Flecken . Dabei sind zwei bis drei Kältekompressen passender Größe nützlich.Also, lasst uns loslegen! Nach einer Weisheitszahn OP solltest du mindestens 24 Stunden lang kühlen. Die tatsächliche, empfohlene Wartezeit hängt aber auch vom Umfang der Weisheitszahn OP, dem bisherigen Heilungsverlauf und auch dem persönlichen Gefühl ab. – Kartoffelpüree. Rötung des Wundbereiches. Bei der örtlichen Betäubung kann es selten (ca.Wie lange kühlen nach der Weisheitszahn OP? Grundsätzlich gilt es als richtig, die Wangen etwa für 24 – 48 Stunden im Anschluss an das Weisheitszähne Ziehen zu kühlen – am Tag und in der Nacht. Nach meinen persönlichen Erfahrungen mit der . Heutzutage tun die Spritzen meist nicht mehr weh. Ich hatte dabei nur eine örtliche Betäubung. Wir haben hier die Wichtigsten Fakten für Sie zusammengefasst: Was sollte man nach einer Weisheitszahnentfernung beachten? Nach dem Eingriff bekommen Sie ein Verhaltensmerkblatt. Letzte Woche Donnerstag bin ich wegen Schmerzen an einem Backenzahn zum Zahnarzt gegangen – ich dachte, ich habe mir etwas reingebissen oder halt eine Karies-Stelle.Vor der Weisheitszahn OP kannst du schon mit einigen Tipps eine optimale Vorbereitung für die Entfernung der Weisheitszähne durchführen.

Das Kühlen mit Eispacks hilft zur Linderung.

Die Weisheitszahn-OP beschreibt ein zahnmedizinisches Verfahren, bei welchem dem Patienten ein oder mehrere Weisheitszähne entfernt werden.
Weisheitszahn-OP: Gründe, Ablauf und Risiken
Diese können dann nicht durchbrechen und bleiben ganz oder teilweise im Kiefer eingeschlossen. In diesem Artikel werden wir .
Nach Zahnextraktion/Weisheitszahn OP Wunde Weiß
Weisheitszahn
Vorbereitung vor Weisheitszahn OP
Weisheitszahn Heilung
Die ersten 3 waren so gut wie kein Problem. Durch die Schwerkraft sollte diese sich über den Tag hin etwas bessern. Lesen Sie mehr zu dem Thema: Essen nach einer Weisheitszahn-OP.Im Normalfall wird die Schwellung drei bis vier Tage nach der Weisheitszahn OP beginnen sich zu bessern und sollte etwa eine Woche nach den Extraktionen vollständig abgeklungen sein.Nachdem der Weisheitszahn entfernt worden ist, empfiehlt es sich, ein paar Tage lang Schmerzmittel zu nehmen. Brennendes Gefühl beim Trinken und Essen nach der Weisheitszahn Operation.

Während der Ablauf der Weisheitszahn OP am Oberkiefer meist reibungslos vollzieht, kommt es bei der Extraktion am Unterkiefer häufiger zu leichteren Problemen.
- Weight Watchers Fettsäuren | Der Nutri-Score im Überblick: Darauf musst du achten
- Weigelie Schneiden Mit Bebilderung
- Weiße Riesenbohnen Salat Rezept
- Weihnachtspyramiden Kaufen : 1stöckige Weihnachtspyramiden
- Weihnachtsmarkt Schafhof Freising
- Welche Alternativen Gibt Es Zur Weizenallergie?
- Weihnachtsbeleuchtung Kosten Berechnen
- Weiße Kinder Bueno | Ferrero Kinder Bueno White, Riegel, Schokolade 30 Stück
- Weiße Tattoos Schwellen | Temporäre Tattoos
- Welche Abgeltungssteuer Erhält Ein Privatanleger Für Seine Aktien?
- Weißer Knubbel Am Zahnfleisch _ Was ist eine Zahnfistel (Fistel im Mund)?
- Weiterbildung Wiedereinstieg Arbeitsagentur
- Weitsprung Weltrekord Männer : Kein Tag wie jeder andere: Der Weitsprung-Weltrekord