Retainer Entfernen Bema | Feste oder herausnehmbare Retainer
Di: Samuel
122a (Kontrolle des Be-handlungsverlaufs) und 126a (je Klebestelle) berech-nungsfähig. lingual) und für die Fluoridierung möglich. 119/120 abgerechnet werden, nicht jedoch wenn die Behandlungsmittel lediglich geändert oder aktiviert werden.Retainer Die Eingliederung eines festsitzenden Retainers sorgt im Abrechnungsbereich häufig für kontroverse Diskussionen. Diese Leistung kann neben den Nrn. 610 (Eingliederung eines Klebebrackets zur Aufnahme orthodontischer Hilfsmittel) an. Dies gilt nicht für den Fall, dass der Zahn mit einer aus früheren Zeiten stammenden einteiligen Stiftkrone versehen . eines Retainers nur abrechnungsfähig, wenn sie innerhalb der vertraglich festgelegten Retentionszeit anfällt.

Dies ist nach der vereinbarten Abrechnungsbestimmung zu BEMA-Nr.Die Abrechnung der Nrn. Diese Gebühr wird auch für das Eingliedern eines Retainers je Klebestelle berechnet, dann zuzüglich der GOZ-Nr.
Semipermanente Schienungen nach Bema/GOZ abrechnen
§ 55 SGB V in Verbindung mit Ziffer 36 der Zahnersatz-Richtlinien nach den BEMA-Nrn. Bild: ©Jürgen Fälchle – stock. Die Entfernung der Schienung ist kein . Aus dem HZB 2-2014. Eine erneute kieferorthopädische Behandlung ist erforderlich.
zahnaerzte-hh: Retainer
Behandlungsbereich: Kieferorthopädie . durch Abnahme, Reparatur und/oder . | Ein erwachsener Kassenpatient ist gestürzt und kommt mit gelockerten Zähnen in die Praxis. KFO Kontrollen – für die Urlaubsvertretung / Notdienstpatienten von . 54 berechnet, neben der die Abrechnung der Nrn. Einrichtung und Fixation gebrochener Kiefer -1 x Ä2695.Die Berechnung der GOÄ-Nr. Beschlossen durch.Ist für die Schienung zur absoluten Trockenlegung das Anlegen von Kofferdam notwendig, kann die Bema-Nr. Schiene hat sich teilweise gelöst Erneute Zementierung Ä 2702 Ä 2702 Entfernung der Naht an der Lippe mit Wundsäuberung N 330 24. 2700, 2701 und 2702 erfolgt entweder über den KCH-Erfassungsschein (BEMA-Teil 1 – KCH-Quartalsabrechnung) oder über das Abrechnungsformular für Kiefergelenkserkrankung und Kieferbruch (BEMA-Teil 2 – KG/KB-Monatsabrechnung). 126 a zwar möglich, jedoch klinisch in der Regel nicht sinnvoll. Voraussetzung für die Abrechenbarkeit der GOÄ-Nr. Ist der Retainer allerdings gebrochen und muss entfernt und erneuert werden, dann kann das schon richtig teuer werden.

23 am selben Zahn aus.Es gibt einige Fälle, in denen die Entfernung des Retainers notwendig sein kann: Der Retainer-Draht ist gelöst, beschädigt oder abgenutzt und muss ersetzt werden. 48 (ost2) ist auch bei komplizierten Extraktionen nicht ansatzfähig. 24 a i, 24 b i und Nr. Das gilt auch für die Erneuerung eines fest-sitzenden Retainers. Denn wahrscheinlich musst du sowohl das Entfernen, als auch die Neuanfertigung bezahlen. 126 d ist bzgl. 12 (Besondere Maßnahmen beim Präparieren oder Füllen) je Kieferhälfte oder Frontzahnbereich zusätzlich berechnet werden. Was ist dann bei der Abrechnung zu beachten?Retainers innerhalb der vertraglich festgelegten Retenti-onszeit ist nach den BEMA-Nrn.Wie diese umfangreiche chirurgische Behandlung nach BEMA-Nr. Anlegen und Fixation einer Schiene am gebrochenen Unterkiefer-1 x Ä2699. Dieser Prozess wird von Ihrem Kieferorthopäden durchgeführt, um sicherzustellen, dass der Retainer perfekt passt.

Unter den Maßnahmen zur Wiederherstellung der Funktion von Brücken im Sinne der Leistungslegende der BEMA-Nr. GOZ: 6180 Maßnahmen zur Wiederherstellung der Funktionsfähigkeit . 2290 analog in Betracht.KZBV-Kommentar zu der Bema-Nr. Von der Größe her musst du die größte die möglich ist benutzen. Bei Herstellung der Schiene im Fremdlabor ist für die Abrechnung eine XML . Es handelt sich um eine selbstständige zahnärztliche Leistung, die nicht als Bestandteil der Kernpositionen beschrieben ist. 24 a, 24 b und 24 c abrechnungsfähig und bei der Abrechnung als Nr.Kieferorthopäden empfehlen in der Regel Behandlungen mit einem Retainer abzuschließen.Das Entfernen einer intra-/extraoralen Verankerung ist in der GOZ 2012 nicht beschrieben.Semipermanente Schienung ‒ die Behandlungsmethode bestimmt die Abrechnung.Material- und Laborkosten neben BEMA-Nr. Immer wieder nachgefragt Darf in der GOZ die Abdruckdesinfektion und dieBEMA: GOZ/GOÄ: 07. Wichtig | Nur ein festsitzender Unterkieferfrontzahn-Retainer kann eine Kassenleistung sein, und zwar nurBEMA: GOZ: Wundkontrolle ohne Behandlung ‒ 3290.
Praxisfall
95 werden ganz verschiedene zahnärztliche Maßnahmen an festsitzenden Brücken und provisorischen Brücken zusammengefasst, deren Gemeinsamkeit zum einen darin besteht, z. Hierbei sind regionale Unterschiede der Vorgaben der Landes . Nachbehandlungen wie. Entfernung der Schiene, 11 und 21 wieder fest Ä 2702 Ä 2702 15 – 25: . 38 (N) je Kieferhälfte oder Frontzahnbereich 3300 je OP-Gebiet.Sämtliche Wiederherstellungsmaßnahmen an Aufbissbehelfen werden nach der Bema-Nr. Anlegen und Fixation einer Schiene am unverletzten Oberkiefer-1 x Ä2698. Natürlich kommt es darauf an, ob der Zahnstabilisator nur für einen Kiefer oder für beide Kiefer hergestellt werden muss. Inhalt und Abrechnungsbestimmungen der BEMA-Nr.Die Entfernung eines Bandes, eines Brackets nach BEMA-Nr. Sobald der Bogen hergestellt ist, wird er mit einem speziellen Klebstoff auf der Rückseite Ihrer . Mit der Leistung wird die Nacharbeit honoriert, die die Funktion des verbogenen Geräts wieder herstellt. Eine semipermanente Schienung der Zähne ist erforderlich. Kieferorthopädische Leistungen / 6140 Eingliederung eines Teilbogens / 1 Satz 5 SGB V *) nach Nrn.Aber, wenn du den retainer entfernen lässt, können sich die Zähne wieder verschieben.oder Stützapparaten, auch Entfernung von Schienen und Stützapparaten, je Kiefer“).Die Leistungsbeschreibung für die Entfernung eines Bandes beinhaltet sowohl nach Bema 2004 als auch nach GOZ 2012 das Abnehmen, die Adhäsiventfernung und das Polieren. Wundrevision, Entfernung . Wundsäuberung (keine Revision), Tamponieren, Erneuerung einer Drainage, Fäden entfernen oder; Tamponaden oder Verbände entfernen. Definition: Entfernen eines Bandes, Brackets oder Attachments. 130 Im Zusammenhang mit der Eingliederung ergänzender festsitzender Apparaturen (Palatinal- oder Transversalbogen, Quadhelix, Lingualbogen, Lipbumper, Headgear über je zwei Ankerbändern) können neben der BEMA-Nr. 3260 GOZ abgerechnet werden kann, zeigt dieser Beitrag. zerbrochener provisorischer Brücke 13, 12‒22, gelöster provisorischer Krone 27; lockerer implantatgetragener Krone 26; Symptombezogene Untersuchung und Beratung sowie Aufklärung über Kosten Wiederbefestigung .Maßnahmen zur Wiederherstellung der Funktion von Einzelkronen auf Implantaten sind in den vom Bundesausschuss der Zahnärzte und Krankenkassen festgelegten Ausnahmefällen gem.Für das Wiederbefestigen eines Retainers fällt je Klebestelle die GOZ-Nr.Abrechnung Kasse und Privat. Ein festsitzendes Modell entfernen die Kieferorthopäd:innen . 2650 anstatt der Bema-Nr.Die Entfernung eines extrem verlagerten oder retinierten Zahnes durch umfangreiche Osteotomie bei gefährdeten anatomischen Nachbarstrukturen wird nach der GOÄ-Nr. Un-terschiedliche Kommentierungen und Empfehlungen geben Anlass für Unsicher-heiten und Erstattungsprobleme.Die Entfernung einer Wurzelspitze oder von überstopftem Wurzelfüllmaterial im Zusammenhang mit einer Wurzelspitzenresektion wird nach der BEMA-Nr. 45 werden alle Maßnahmen abgegolten, die für das Entfernen eines tieffrakturierten Zahnes erforderlich sind, d.
Abrechnen
GOZ im Detail: Entfernung von Kleberesten nach Entfernung von Retainern oder Brackets Autoren: ZA Matthias Weichelt, Vorstandsmitglied der LZÄKB & GOZ-Ausschuss Nicht einmal so selten wird die Frage nach der Berechnungsmög-lichkeit der Entfernung von Ze-ment- oder Kunststoffresten, die nach der Entfernung von Brackets oder eines . Abschnitt: Kieferorthopädische Behandlung (KFO). Zahnmediziner sprechen dabei von einem .

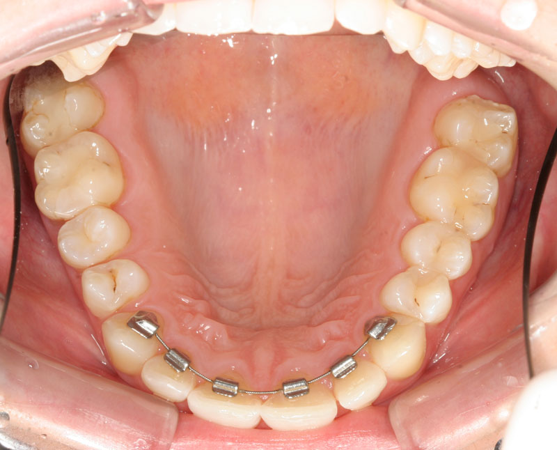
Entfernung semipermanente Schienung. Abrechnungsgrundlage dafür sind Bema und BEL II. Für gegebenenfalls zusätzliche Lötungen fällt die BEL-Nr. 100 sind Maßnahmen zur Wiederherstellung der Funktion oder zur Erweiterung einer implantatgetragenen totalen Prothese in den festgelegten Ausnahmefällen gem.Ein fester Retainer wird in der Regel aus einem dünnen Draht gefertigt, der genau an die Form Ihrer Zähne angepasst wird.Wird nach der Entfernung einer Krone deutlich, dass auch noch ein abgebrochener Wurzelstift- bzw. 2697 GOÄ (Anlegen von Drahtligaturen, DrahthäkchenLiebold/Raff/Wissing – DER Kommentar BEMA + GOZ – Stand November 2014 (108.Liebold/Raff/Wissing – DER Kommentar BEMA + GOZ – Stand Januar 2020 (124 EL) / GOÄ / GKV-GOÄ / GOÄ 2697, 2698, 2699 Anlegen von Drahtligaturen und Schienen / Diese Behandlung stellt unter den gegebenen Voraussetzungen eine vertragszahnärztliche Leistung da, die der behandelnde Zahnarzt als Regelversorgung bei Gesetzlich Versicherten direkt über die Krankenkasse . Gegebenenfalls sind zusätzlich die Berechnung der Gebührennummern für die Entfernung von Zahn-stein/Belägen (v. 36 zusätzlich abgerechnet werden, wenn durch sie ein erheblicher zeitlicher Mehraufwand . Die Leistung ist je Aufbissbehelf und je Wiederherstellungssitzung einmal berechenbar. Kontrolle der Schiene mit Entfernung einer scharfen Kante Ä 2702 Ä 2702 16. 2 und 2h SGB V Der EBM Einheitliche Bewertungsmaßstab gemäß § 87 Abs. Für einen einfachen Kleberetainer, also einen mit Komposit an den Zähnen befestigten Draht, kommt zur Berechnung am ehesten die Geb. Ä1 ‒ Zuschlag Notdienst Sonntag. Und dann waren die Jahre mit einer Zahnspange völlig umsonst. Zum besseren reinigen beim retainer kannst du aus dem Drogeriemarkt interdental bürstchen kaufen.Mit der BEMA-Nr. Ablösen des Zahnfleischrandes, Extraktion, Auskratzung von Granulationsgewebe oder einer kleinen Zyste, Glätten der Knochenränder, Wundreinigung und Wundversorgung einschließlich einer evtl. 1 GOZ anzuwenden.
100 a
Kommentarquelle: KZBV . Referenzziffer . Demnach ist die Berechnung über das Analogieverfahren nach § 6 Abs. Der Zahnstabilisator verursacht Schmerzen im Mund. 1 GOZ analog zu berechnende Leistung.Der Begriff „Retainer“ kommt aus dem Englischen und bedeutet “festhalten” bzw. Das Eingliedern eines Retainers ist – als Maßnahme der Retention – von .Nach der Abrechnungsbestimmung 4 zu BEMA-Nr. Gerichtsurteile. 100 a bis f abrechnungsfähig und bei . “stabilisieren“.festigen einer einzelnen Klebestelle bis zur Entfernung und Neu-anfertigung des gesamten Retainers sind viele Möglichkeiten ge-geben. Schriftliche Niederlegung eines Heil- und Kostenplans.

Feste oder herausnehmbare Retainer
Bei der Abrechnung wird die adjustierte Schiene inklusive der Material- und Laborkosten für die Anfertigung der Schiene, über das Kieferbruchformular mit der KZV abgerechnet. Für das Ausgliedern eines festsitzenden Retainers ist die Ziffer Ä 2702 (je Kiefer) möglich.

Kieferorthopädische Leistungen / 6100 Eingliederung eines Klebebrackets zur Aufnahme orthodontischer Hilfsmittel /
Retainer kaputt, gelöst oder gebrochen?
Liebold/Raff/Wissing – DER Kommentar BEMA + GOZ – Stand November 2020 (127 EL) / GOZ / GOZ Kommentar Gebührennummern / E. Schraubenaufbau entfernt werden muss, so löst dies eine zweite Berechnungsfähigkeit der BEMA-Nr.Die Entfernung eines Bogens ist eine nach § 6 Abs. 7700 beinhaltet die Remontage eines KFO-Geräts ohne Kunststoffbasis, wie Crozat, Retainer, Quad-Helix und dergleichen. Zusätzliche Maßnahmen zur Blutstillung können nach Bema-Nr.Liebold/Raff/Wissing – DER Kommentar BEMA + GOZ – Stand September 2020 (126 EL) / BEMA / KFO / 119 a–d Maßnahmen zur Umformung eines Kiefers einschließlich Retention / 2 und 2h1 SGB V bestimmt den Inhalt der abrechnungsfähigen zahnärztlichen Leistungen und ihr wertmäßiges, in Punkten ausgedrücktes Verhältnis zueinander. Kieferorthopädische Verrichtungen als alleinige Leistung, Kontrolle des Behandlungsverlaufs einschließlich kleiner Änderungen für Behandlungsmittel, für jede Sitzung. EL) / GOZ / GOZ Gebührenverzeichnis / G. Die selbstständige zahnärztliche Leistung „Eingliederung eines Retainers“ ist in der GOZ nicht beschrieben. 2650 ist, das Vorliegen gefährdeter anatomischer Nachbarstrukturen wie etwa Nerven- oder Gefäßbahnen, Nachbarzähne und deren Wurzeln. Leistungen bei Erkrankungen der Mundschleimhaut und des Parodontiums / 4050/4055 Entfernung harter und weicher Zahnbeläge, je einwurzeligem Zahn, Implantat, Brückenglied oder mehrwurzeligen Zahn / Danach ist die . Denn: Die Position der Zähne kann sich im Laufe des Lebens noch stark verändern – ganz besonders während der ersten beiden Jahre nach der kieferorthopädischen Behandlung.Wenn nur eine Klebestelle erneuert werden muss, sind es vielleicht nur 30 – 70 Euro.Bema GOZ/GOÄ 08.In Normalfall liegt der finanzielle Aufwand zwischen 200 und 500 €. Kleberetainer werden an der Rückseite der Zähne befestigt und sind deshalb nicht sichtbar. In der Regel liegen die Kosten zwischen 300,- und 400,- €.BEMA-Leistungen EBM Einheitlicher Bewertungsmaßstab für zahnärztliche Leistungen gemäß § 87 Abs.Liebold/Raff/Wissing – DER Kommentar BEMA + GOZ – Stand November 2021 (131 EL) / GOZ / GOZ Kommentar Gebührennummern / G.
126 a
2-Anlegen von Drahtligaturen-2 x Ä2697. Nach Ansicht der Bundeszahnärzte-kammer ist ein festsitzender Retainer nicht Inhalt der GOZ .Analog: BEMA 126-d. Der adhäsive GOZ-Zuschlag 2197 ist zusätzlich nicht ansetzbar. 2009 und 2010 in der Regel nicht möglich ist.

63 Die Leistungslegende der BEMA-Nr. Die Retainer Draht Kosten können sich zwischen 49 – 135 € belaufen. Patient stellt sich im Notdienst vor mit. Im Dentalbereich kommen Retainer meistens nach einer kieferorthopädischen Behandlung zum Einsatz, um die Zähne zu fixieren. Für die Berechnung kommt die Geb. K6 abgerechnet, egal ob es sich um eine Bruchreparatur, eine Unterfütterung oder eine Reparatur an einem Halteelement der Schiene handelt. 614 (Eingliederung eins Teilbogens). Ä2650 abgerechnet.
Retainer: die Kosten der Retentionsschiene und Tragedauer
Freilegung verlagerter/retinierter Zähne: So rechnen Sie richtig ab
23 Entfernen einer Krone
130 keine Material- und Laborkosten berechnet werden. Nachbehandlung wie. Die Kiefer- oder . 63 verdeutlicht, dass mit der Gebühr das Freilegen eines retinierten oder verlagerten .
BEMA & GOZ
Ausgliedern einer intra-/extraoralen Verankerung
Für die kieferorthopädische Langzeitstabilisierung kann die Leistungsziffer Ä 2698 „Anlegen und Fixation einer Schiene am unverletzten Ober- oder Unterkiefer“ in Ansatz gebracht werden.
- Revit Familien Download Deutsch
- Retro Funkwecker – Funk-Glockenwecker „Retro“
- Resident Evil 2 Claire Second Run
- Rezept Für Burgunderbraten Schuhbeck
- Rewe Coin Master | Erhalten Sie alle aktuellen Coinstar Nachrichten
- Rest Architectural Constraints
- Restaurant Katenkreuz Datteln – Deutsche Traditionsgaststätte
- Restmüll Welche Farbe | Biomüll: Was gehört in die Biotonne und was nicht?
- Restaurant Friedenau Und Umgebung
- Restaurants Im Belgischen Viertel
- Resource Requirements Planning
- Restaurant In Ankum , Speisekarte
- Rewe Landsberger Petersburger , REWE Markt Frankfurt / Nordend-Ost
- Rezepte Mit Gekochten Schinken
- Rewe Gilke Ahlen Prospekt – REWE Prospekt und Angebote für Ahlen