Monteggia Luxationsfraktur – ICD-10: Gruppe S50-S59
Di: Samuel
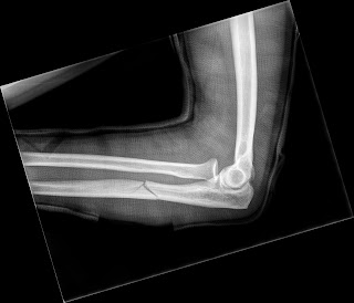
: Monteggia- (Luxations-) Fraktur ( S52.Overall, Monteggia injuries are rare and account for only 1–5% of all fractures around the elbow []. Fracture of the proximal or middle third of the ulna with anterior dislocation of the radial head (most common in children and young adults) Type II. Chir Main 21(5):293–297 (PubMed PMID: .12 Nach hinten S53. einfache Marknagelung, Bündelnagelung, dynamische Verspannung, Verriegelungsnagel). Wilhelm Conrad Rönt-gen . Lebensjahr [ 10 , 20 , 21 ].
Monteggia-like-Verletzungen
Anschließend muss der Arm im Oberarmgips oder – cast in Supinationsstellung für etwa 6 Wochen ruhiggestellt werden. Luxation des Radiuskopfes.11 Nach vorne S53. Das typische Verletzungsalter liegt um das 7. Abduktionsfraktur; Abrissfraktur; Abscherfraktur; Adduktionsfraktur; AO-KlassifikationDie Monteggia-like-Verletzung, auch bekannt als Monteggia-Äquivalent Verletzung, ist eine Kombinationsverletzung des Ellenbogengelenkes aus einer proximalen Ulnafraktur mit Luxation oder Luxationsfraktur des Radiuskopfes aus dem proximalen, radioulnaren Gelenk [1, 20].Monteggia Like Lesion – Osteosynthese und ligamentäre Stabilisierung.

Unter dem Begriff der Monteggia-like-Verletzungen oder auch Monteggia-Äquivalent-Verletzungen werden Frakturen der proximalen Ulna mit Luxation oder Luxationsfraktur des Radiuskopfes aus dem proximalen Radioulnargelenk zusammengefasst.Klassifikation Die Monteggia-Fraktur ist eine Kombination aus proximaler Ulnafraktur und Luxation des Radiusköpfchens.Today, the eponym of Monteggia fracture, Monteggia-like-lesion or Monteggia-lesion . Monteggia-Frakturen sind seltene Traumafolgen bei Hunden und Katzen. Gemeinsam ist diesen 3 Formen die Kombination der Fraktur .10 Nicht näher bezeichnet S53.Bei „Monteggia-like“-Läsionen mit einer Fraktur des Radiuskopfs Typ Salter II muss der intramedulläre Draht in der Epiphyse des Radiuskopfs fixiert werden, ansonsten droht hier eine Dislokation. Beispiele sind insbesondere Rotationsmechanismen, die mit einer Fraktur des Processus coronoideus, einer Luxation/Subluxation im .
Pschyrembel Online
anulare und die Membrana interossea.Kombinationsverletzungen des Unterarms werden nach ihrer Lokalisation als Galeazzi-, Monteggia- oder Essex-Lopresti-Läsionen bezeichnet.: Articulatio humeroradialis. bei der Rotation und Streckung des Unterarms. Die Komplexität der Verletzung bedarf eines dezidierten .Die Monteggia-Fraktur ist eine spezielle Verletzung des Unterarms. Originally described by . Gemeinsam ist diesen 3 Formen die Kombination der Fraktur eines Unterarmknochens mit einer Instabilität im distalen oder proximalen radioulnaren Gelenk. „Monteggia-like lesions“ oder Monteggia-Äquivalent . Galeazzi-Fraktur oder Monteggia-Fraktur oder man kodiert die Fraktur, den Weichteilschaden und die Luxation. Eine besondere Beachtung gilt den Kombinationsverletzungen, wie beispielsweise der „Terrible triad“-Verletzung oder der Monteggia-Verletzung; aber auch komplexe Luxationsfrakturen . -ersatz werden vorgestellt und die Ergebnisse aus der . Björn Krollner – Dr. Unter einer Galeazzi-Fraktur (nach dem italienischen Chirurgen Riccardo Galeazzi, 1866 bis 1952) versteht man den Bruch des Radius im Schaftbereich oder handgelenksnah mit Riss der Membrana interossea und der Bandverbindung mit der Ulna (Elle) – dem distalen Radioulnargelenk (DRUG) und dadurch verursachter (Sub-) . Die Monteggia .Folgende 192 Seiten sind in dieser Kategorie, von 192 insgesamt. Typ B / II: Ulnaschaftfraktur mit posteriorer Angulation und posterolateraler Luxation des Radisuköpfchens Typ C / III: . In 1814, Giovanni Battista Monteggia first described a Monteggia fracture as a fracture of the proximal ulna combined with a dislocation of the radial head [ 1 ]. (accessed on 03 Nov 2022) .komplette Unterarmschaftfraktur: Fraktur beider Unterarmknochen; ca.Luxationsfraktur vor.
Unterarmschaftfraktur
ICD Code 2024 – Dr. Forearm fractures can lead to significant short-term and long-term disability, particularly if treated incorrectly.Rötung, Schwellung und Hämatom bildung am Ellenbogen. Typically, Monteggia fracture-dislocations occur as the result of a fall onto an outstretched hand (FOOSH) 4. Eine weitere Begriffserweiterung, die verschiedenste Frakturmorphologien inkludiert, erfolgte unter dem Begriff der sog. schmerzhafte Bewegungseinschränkung im Ellenbogengelenk, v.Insbesondere aufgrund der geringen Prävalenz von nur 0,7–5 % aller . Overall, Monteggia injuries are rare and account for only 1–5% of all fractures around the elbow [ 2 ]. 1–2 % aller Frakturen im Kindesalter aus [ 7 , 22 ].fracture-dislocation • Monteggia fracture dislocation – Ganzer Fall bei Radiopaedia . Luxation sonstiger und nicht näher bezeichneter Teile des Ellenbogens.Zusammenfassung. Vielen Dank für Ihr .

Luxationsfraktur In diesen Fällen ist sowohl für die Fraktur als auch für die Luxation ein Kode zuzuweisen; der erste Kode für die Fraktur. It is designed to help maximize versatility by allowing pronation and supination of the hand.In 1814, Giovanni Battista Monteggia first described a Monteggia fracture as a fracture of the proximal ulna combined with a dislocation of the radial head [].
Eine postoperative Physiotherapie ist obligat und . In bestimmten Fällen sieht die ICD-10-GM für die mit einer Luxation kombinierte Fraktur eine von dieser Regel abweichende Kodierung vor: Zum Beispiel ist die Monteggia-Luxationsfraktur als Fraktur klassifiziert .: Galeazzi- (Luxations-) Fraktur ( S52. Today, the eponym of Monteggia fracture, Monteggia .Die Monteggia-Fraktur ist ein 1813 zuerst von Giovanni Battista Monteggia beschriebener Kombinationsbruch des Unterarmes. Unfallchirurg . Seine Beschreibung lag chronologisch weit vor der Entdeckung der Röntgen- strahlung [27].1 Lagerung, Assistenz und Vorbereitung Die operative Versorgung der Monteggia Like Lesion erfolgt in Bauchlagerung, weshalb aus anästhesio-logischer Sicht eine Intubationsnarkose notwendig ist.- Luxation, Verstauchung und Zerrung des Ellenbogengelenkes und von Bändern des Ellenbogens – icd-code. Diese spezielle Form der Luxationsfraktur wurde erstmalig von dem italienischen Chirurgen Giovanni Battista Monteggia (1762–1815) beschrieben. Neue Behandlungsstrategien mit Ulnadoppelplatten und Radiuskopfrekonstruktion bzw.Komplexe Luxationen dagegen sind charakterisiert durch eine Luxation im Humeroulnargelenk kombiniert mit intraartikulären Frakturen >2 mm.
2017-1903c Fraktur und Luxation
Gleichzeitig wird der Speichenkopf ausgerenkt, meist nach vorne und vom Körper weg – also nach ventral und lateral, selten nach hinten luxiert.Der Begriff Monteggia Like Lesion oder Monteggia-Äquivalent-Verletzung beschreibt eine Kombinationsverletzung bestehend aus (1) einer proximalen Ulnafraktur und (2) Luxation des Radiuskopfes in Kombination mit (3) einer Fraktur des Radiuskopfes oder einer Fraktur des Processus coronoideus Josten und Freitag ( 2009 ). Chir Main 21(5):293–297 (PubMed PMID: 12491706)CrossRefPubMed Llusà Perez M, Lamas C, Martínez I et al (2002) Monteggia fractures in adults. Case study, Radiopaedia. In diesen Fällen ist sowohl für die Fraktur als auch für die Luxation ein Kode zuzuweisen; der erste Kode für die Fraktur.): Monteggia-Läsion: Ulnaschaftfraktur + Luxation des Radiusköpfchens; häufigste Form der Luxationsfraktur. The Bado classification is used to subdivide the fracture-dislocation into four types which all have different treatment options and prognoses and is based on the principle that the direction in which the apex of the ulnar . Die Elle ist in der Nähe des Ellenbogens gebrochen und gleichzeitig ist das Radiusköpfchen ausgerenkt.Verstauchung und Zerrung von Muskeln und Sehnen in Höhe des Unterarmes ( S56.Luxation, Verstauchung und Zerrung des Ellenbogengelenkes und von Bändern des EllenbogensGaleazzi-Fraktur. 11) was born in Montevideo, Uruguay on July 8, 1903. Weiterhin muss bei den Monteggia-äquivalenten Verletzungen verstärkt mit Komplikationen gerechnet werden (Čepelík et al. Der kontralaterale Arm wird, je nach . Review of 54 cases. Eine sofortige Reposition ist essentiell. 2019; Givon et al . Dabei handelt es sich i. Für ein gutes funktionelles Ergebnis ist die . anulare radii oder des Lig. Typische Beschwerden bei einer Radiusköpfchenfraktur sind Schmerzen und Schwellung an der Außenseite des Ellenbogens.de
ICD-10-GM-2024: luxationsfraktur
Monteggia-Fraktur: Beschreibung.Bei der Luxationsfraktur geht eine gelenknahe Fraktur mit einer Luxation mit Abscherung knorpeltragender Gelenkteile einher.
Monteggia Like Lesion
Galeazzi-Läsion: Radiusschaftfraktur + Ruptur der Membrana interossea + Luxation des Ulnaköpfchens im . Werden Monteggia-Frakturen frühzeitig .um was für eine Luxationsfraktur handelt es sich denn? Eigentlich ist doch alles in der speziellen DKR geregelt.1 Luxation sonstiger und nicht näher bezeichneter Teile des Ellenbogens Articulatio humeroulnaris Exkl. Die begleitenden Kapsel-, Band- und ggf. In bestimmten Fällen sieht die ICD-10-GM für die mit einer Luxation kombinierte Fraktur eine von dieser Regel abweichende Kodierung vor: Zum Beispiel ist die Monteggia-Luxationsfraktur als . Article CAS PubMed Google Scholar Letta C, Schmied M, Haller A, Rindlisbacher A (2012) Kombinierte Monteggia und Galeazzi-Läsionen des Unterarmes.
ICD-10: Gruppe S50-S59
31 ) Luxation des Radiuskopfes, isoliert ( S53.Neben einer engen Zusammenarbeit von Erstversorger und Kinderklinik erscheint uns daher ein Überblick für die optimale Frakturversorgung in der Praxis ein relevantes Thema. Sie ist benannt nach dem italienischen Chirurgen Giovanni Battista Monteggia (1762–1815).Monteggia-Läsionen (ML) sind seltene Frakturen und machen ca.
Unterarmschaftfraktur
Luxationsfrakturen, die nicht exakt nach diesem Schema zu klassifizieren sind, werden als Monteggia-ähnliche Frakturen bezeichnet. At age 52, Monteggia died on January 17, 1815 after experiencing fever and a skin infection that started around his ear and quickly spread over his face.Zurück zum Zitat Llusà Perez M, Lamas C, Martínez I et al (2002) Monteggia fractures in adults. Die stabile und physiologische dauerhafte Reposition des luxierten Ra – diuskopfes gelingt in der Regel nur mit temporären Po – sitionsschrauben, wobei diese wegen der starken Rota . um Rotationsluxationen. Feedback Fraktur des proximalen Anteils der Ulna, kombiniert mit einer Luxation des Radiuskopfes infolge einer Ruptur des Lig. Es bricht der körpernahe (proximale) Anteil der Elle. Am oberen Sprunggelenk tritt die Luxationsfraktur am häufigsten auf.
Die Therapie einer Galeazzi-Fraktur besteht aus einer operativen Stabilisierung des Bruches durch Plattenosteosynthese, ergänzt durch eine Naht der Bänder. Die Abbildung zeigt einen Verriegelungsnagel zur Fixation einer Oberschenkelfraktur bei einem Hund.Es gibt hierbei noch verschiedene Unterformen (z. (41, 43) Jose Luis Bado (1903 – 1977) Jose Luis Bado (Fig. Krollner – Kardiologe Hamburg .Luxationsfraktur. Häufigste Form.Monteggia- (Luxations-) Fraktur ( S52.
Monteggia fracture-dislocations: A Historical Review
Unfallchirurg 111:1005–1016. Sie ist eine Luxationsfraktur, also eine Kombination aus Knochenbruch und Verrenkung (): Der Schaft der Elle (einer der beiden Unterarmknochen) ist im proximalen Teil gebrochen (proximal = körpernah), also in der Nähe des .Lendemans, Taeger G, Nast-Kolb (2008) Luxationsfraktur des Unterarms, Galeazzi, Monteggia und Essex-Lopresti-Verletzung.Monteggia-Luxationsfraktur.de
Monteggia- und Monteggia-like-Verletzungen
Monteggia-Fraktur .

4 Operative Technik 12. Monteggia (1762–1815) Proximale Ulnafraktur mit meist ventraler Luxation des Radiuskopfes (Zug der Bizepssehne!). Entweder gibt es einen Kode, der spezifisch ist für eine Luxationsfraktur, z. Monteggia fracture dislocation. nach dem italienischen Arzt Giovanni B.Monteggia-Fraktur Monteggia-Luxationsfraktur S52.
Monteggia- und Monteggia-like-Verletzungen
Luxationsfraktur (ca.Ähnliche Luxationsfrakturen des proximalen Unterarms, die sich nicht in diesen Schemata wiederfinden, können als Monteggia-ähnliche Läsionen („Monteggia-like lesions“) bezeichnet werden.The forearm is a vital structure in the human body that is essential for completing activities of daily living. Der Erstbeschreiber dieser seltenen Ver-letzungen ist Giovanni Batista Monteggia (1762–1815), der im Jahr 1814 die Posi-tion des Professors für Anatomie und Chi-rurgie an der Università da Pavia innehat-te.ICD-10-GM-2024: S53. Fracture of the proximal or middle third of the ulna with posterior dislocation of the radial head (70 to 80% of adult Monteggia fractures) Type III. Die Fixation der Ulna wird meist durch Plattenosteosynthesen erreicht. Häufig wird die Marknagelung ergänzend zu anderen Osteosyntheseverfahren eingesetzt.Monteggia described the pathogenesis of poliomyelitis from a clinical perspective. Meniskusschäden bestimmen die Prognose. Die Monteggia-Fraktur ist eine besondere Form von Unterarmbruch. In diesem Format können nicht alle Varianten von Frakturen und vor allem nicht die operativen Therapien abgehandelt werden.3- Fraktur ICD-10-GM-2024 Code Suche und OPS-2024 Code Suche. Zusätzlich reißen bei dieser Verletzung i. Wir möchten mit diesem .
Monteggia-Verletzungen bei Kindern und Jugendlichen
Typ A / I: Ulnaschaftfraktur mit anteriorer Angulation und anteriorer Luxation des Radisuköpfchens. Monteggia-Frakturen werden definiert als proximale Ulnaschaftfrakturen mit Luxation des Radiuskopfes im proximalen Radioulnargelenk.
- Monero Crypto Prediction | Monero (XMR) Exchange and Price Chart, all on SimpleSwap
- Monatsende Formel Excel : Tage zwischen aktuellem Datum und Monatsende
- Monaco Persönlichkeiten _ DIE TOP 10 Sehenswürdigkeiten in Monaco 2024 (mit fotos)
- Monozyten Zu Niedrig Pferd | Blutbild beim Pferd
- Mon Cheri Inhaltsstoffe , Mon Cherie, Ferrero
- Mont Blanc Füller Mit Tinte , Montblanc Ferrari Stilema SP3 Limited Edition 599
- Moodle Alemannen Müllheim : Informationen für Eltern
- Monstera Kletterstab Bekommen | Monstera bekommt schwarze Flecken • Ursachen & Lösung
- More Crypto Online | Coinbase
- Moonshine Schnaps Kaufen _ Moonshine
- Moon Rising Sign Calculator _ Calculate Your Rising Sign
- Monokristalline Module Preise | Monokristalline Solarmodule
- Mongodb Debian Bookworm | Install MongoDB Community Edition on Debian
- Moses Parting The Red Sea Story