Les Métastases Osseuses | Accueil
Di: Samuel
Les patients dont les métastases se sont formées .
Accueil

C’est le cas notamment des métastases rénales et thyroïdiennes. Cela dépend d’un certain nombre de choses, du nombre de métastases, du type de la maladie, il n’est pas . La radiothérapie dans le cadre des métastases osseuses s’administre généralement en peu de séances. Elle doit être la plus précoce possible dès .embolisation avant la prise en charge chirurgicale.Les métastases osseuses sont donc souvent le premier signe de récidive d’un cancer traité dans le passé : elles sont souvent multiples d’emblée. Hypercalcemia , lorsque les os rongés par le cancer libèrent du calcium dans la circulation . Tout message à caractère commercial (pour faire connaître un livre, un site, un guru, un remède miracle contre le cancer, etc. Assez souvent les métastases osseuses sont indolores et découvertes de façon fortuite sur le bilan d’extension ce qui explique que les médecins les recherche systématiquement et plus particulièrement dans certaines situations comme par exemple : Avant de prendre la .Les métastases osseuses affectent les stades avancés des cancers du sein et de la prostate dans 70 % des cas, ainsi que les cancers du poumon (30-65 %), de la thyroïde (47 %) et du rein (30 %) [1, 2]. Traitements des métastases osseuses et des douleurs – L’os n’est pas un tissu figé.
Prise en charge des douleurs osseuses métastatiques
La connaissance .Les métastases osseuses représentent la cause tumorale la plus fréquente des atteintes rachidiennes (90%), loin devant les tumeurs primitives ou les hémopathies. Dans le cancer du poumon métastatique osseux, l’atteinte rachidienne est extrêmement fréquente (85 % des patients avec au moins une localisation rachidienne dans la cohorte POUMOS). Le traitement antalgique conventionnel peut être insuffisant et la prise en charge doit être multimodale, globale et interdisciplinaire.

Scintigraphie osseuse au technecium-99m pour identifier des métastases. Espérance de vie cancer prostate avec métastases osseuses.
Prise en charge des métastases osseuses

Les personnes dont les . Sur les os longs, elles siègent presque exclusivement dans les régions métaphysodiaphysaires.
Épidémiologie et aspects cliniques des métastases osseuses
Les bisphosphonates et le dénosumab sont des médicaments qui renforcent l’os existant et réduisent les dommages causés par le cancer. Les métastases de l’os médullaire sont bien visibles en IRM, et les techniques actuelles permettent des explorations précises et assez rapides en associant les .Le myélome multiple est la plus fréquente des tumeurs osseuses malignes primitives, mais il est souvent considéré comme une tumeur des cellules de la moelle osseuse plutôt qu’une tumeur osseuse primitive car il s’agit d’une dérivation hématopoïétique (voir aussi Myélome multiple Myélome multiple Le myélome multiple est caractérisé par une .
Tout savoir sur le cancer des os

La rédaction d’Allo Docteurs. Il est constamment détruit et reconstruit par des cellules spécialisées.Radiothérapie. On recourt pour ce faire à une chimiothérapie, une hormonothérapie ou une radiothérapie. Elles sont généralement bien soulagées par la prise d’anti-inflammatoires. Elle est indiquée essentiellement à visée palliative, antalgique ou décompressive, et dans la prévention des événements osseux sévères comme les fractures et les compressions médullaires. Les patients atteints de cancer du sein ou de la prostate ont une durée de survie moyenne de 12 à 18 mois à partir du développement des métastases osseuses. Ils agissent de manière légèrement différente. Ces métastases sont en général très invalidantes et liées à une très forte morbidité . La scintigraphie osseuse est particulièrement efficace pour détecter les lésions ostéocondensantes.Les métastases osseuses correspondent au développement dans les os de cellules cancéreuses qui ont migré de leur site de départ par les vaisseaux sanguins ou lymphatiques. Les MO sont soit ostéolytiques, soit . Il est possible de recourir au traitement chirurgical pour prévenir la fracture d’un os affaibli par les métastases osseuses tout comme pour .
Cancer des os
Entre 1990 et 2018, le taux de mortalité annuel par le cancer de la prostate a diminué de 2,8 %. Leur prise en charge doit être pluridisciplinaire, devant la multiplicité des options thérapeutiques et la diversité des localisations métastatiques.Le GEMO est le « Groupe Européen d’Étude des Métastases Osseuses », association loi 1901 dont la mission fondamentale réside dans l’étude des affections osseuses liées au cancer et à son traitement. Les ostéoblastes sont les cellules qui. L’os est innervé par un réseau de neurones sensoriels et sympathiques et, bien que le périoste ait longtemps été considéré comme la partie la plus innervée de l’os, lorsque .Les métastases osseuses ostéolytiques sont à l’origine de fractures pathologiques du rachis et des os longs qui entraînent une restriction de la mobilité, le recours à la chirurgie et un risque de compression médullaire.Les fruits rouges dont la grenade, les myrtilles, les fraises, les framboises, les mûres, les cerises et les raisins se distinguent par la présence de l’acide ellagique et des anthocyanidines. Le GEMO a pour but la promotion et la facilitation des échanges entre personnes, . Lésions nerveuses dans la moelle épinière.Les métastases osseuses sont des complications fréquentes de nombreux cancers. Les métastases osseuses peuvent entraîner des complications telles que : des os affaiblis et des fractures. Ce délai peut diminuer à 3 mois pour les personnes atteintes d’un carcinome bronchique. Dans le cancer du sein métastasé à l’os, elle n’est que l’un des éléments . Après le foie et les poumons, l’os est le troisième site le plus fréquent de métastases, les 2/3 des métastases osseuses impliquant la colonne vertébrale * .) et qui plus est s’il est posté sur plusieurs forums, entraînera automatiquement la fermeture de votre . Les métastases osseuses s’accompagnent d’une altération marquée de la qualité de vie et de surcoûts de santé .Les métastases osseuses (MO) se localisent préférentiellement dans les zones de moelle rouge. Ceci dans le but de soulager les symptômes liés au cancer, de réduire la tumeur ou d’allonger la durée de vie. Les cellules cancéreuses vont .Les métastases osseuses sont des complications fréquentes de nombreux cancers dont les cancers du sein, de la prostate et du poumon [1]. Ces métastases peuvent aussi se compliquer de compression médullaire, de fracture pathologique, et d’hypercalcémie maligne, toutes complications affectant la mobilité, la qualité de vie et l’état général. La résonance magnétique est particulièrement importante pour . C’est une des erreurs les plus fréquemment commises chez les patientes qui ont, par exemple, souffert d’un cancer du sein. D’une part au moyen d’un traitement axé sur les cellules cancéreuses. Diagnostic des tumeurs osseuses métastatiques . Dans le cas du cancer du sein, les données cliniques et expérimentales . Les métastases osseuses sont des complications fréquentes de nombreux cancers dont les cancers du sein, de la prostate et du poumon [1].Le traitement par radiothérapie est souvent de courte durée, mais qui dépends aussi nombre d’os atteints.Métastases [Poster un message] Merci de ne poster votre message qu’une seule fois et dans un seul forum.Les métastases sont très rares chez les enfants, chez qui les tumeurs intramédullaires sont les plus courantes et dont l’origine est issue du système nerveux central lui-même. Accompagnement du patient. Imagerie avancée (TDM, IRM, et/ou . Rédigé le 10/02/2014, mis à jour le 11/02/2014.Dans ce cas, les métastases osseuses peuvent guérir. Tout patient avec des antécédents de cancer, qui présente depuis 4 semaines ou plus une douleur nouvelle localisée à une structure osseuse, devrait subir une investigation pour identifier de .
Comment diagnostiquer les métastases osseuses?
Au plan pronostique, les métastases osseuses du cancer du rein sont liées à une survie plus courte en raison des complications osseuses (Skeletal-Related Events – SRE) occasionnées chez 80 % des patients porteurs de MO.Le cancer de la prostate tend à se propager aux ganglions lymphatiques et aux os, en particulier la colonne vertébrale, le pelvis, les côtes et les os des bras et de la cuisse. Compte tenu de tous ces éléments, nous .

Métastases osseuses chez un patient atteint de carcinome de la prostate : presque toutes les côtes sont touchées.
Métastases osseuses et douleurs
La radiothérapie externe est le standard thérapeutique .
Tumeurs osseuses métastatiques
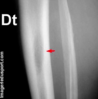
Radiographie de l’os entier.LES MÉTASTASES OSSEUSES PEUVENT ÊTRE ASYMPTOMATIQUES.Les métastases osseuses sont présentes dans 40 % des cas et deviennent symptomatiques dans un délai médian de sept mois après leur découverte [11]. Son champs d’activité est la cancérologie, son auditoire est tout public. Les cancers primitifs de l’os sont des maladies rares et représentent 0,5 à 1 % des nouveaux cancers . Peut-on faire une irradiation tout en poursuivant le traitement systémique de chimiothérapie ou deSeul le NCCN suggère une supériorité du zolédronate sur le pamidronate.Les métastases osseuses sont souvent associées à une dégradation du tissu osseux qui est à l’origine de douleurs intenses, d’une élévation de la calcémie et de fractures pathologiques.

On l’administre habituellement une fois par jour pendant 5 jours.La radiothérapie classique est un traitement clef dans la prise en charge des métastases osseuses.En l’état actuel des traitements, peut-on vraiment se débarrasser des métastases osseuses ou seulement les faire réduire et les contenir ? Les réponses avec le Dr Axel Le Cesne, oncologue.Les métastases osseuses représentent la cause la plus fréquente de douleur liée au cancer, diminuant la qualité de vie des patients et pouvant mettre en jeu le pronostic vital.Profil moléculaire des métastases osseuses d’adénocarcinomes pulmonaires • Chez les 45 patients dont le prélèvement a été traité sans décalcification ou par EDTA, on observe: KRAS EGFR EMLK-ALK HER2 Pas de mutation retrouvée No decalcification 10 3 0 0 10 EDTA 4 3 1 1 9 Total (45 patients) 14 (31.La radiothérapie est également un traitement de choix des métastases issues des cancers qui ont diffusé ; dans ce cas là, on l’utilise souvent pour son action antalgique sur les métastases douloureuses ou encore pour son effet antitumoral, même si nous la délivrions alors à dose réduite, pour éviter d’ajouter des effets . Dans un cas de carcinome bronchique, elle est de 3 mois. Jean-François Morere, oncologue à l’hôpital Avicenne : Il faut plutôt envisager de pouvoir vivre avec cette situation, de façon chronique.La survenue de ces métastases osseuses grève le pronostic vital et la qualité de vie du malade ; elles sont responsables d’une morbidité importante (douleurs osseuses, . Concernant le cancer du poumon répandu aux os, la durée de vie moyenne est de 7 à 11 mois avec traitement également. Les métastases osseuses, ou métastases squelettiques, sont des tumeurs malignes secondaires des os, formées par le déplacement ( métastase) de cellules cancéreuses d’une tumeur primaire 1. Le principal symptôme de métastases osseuses est une douleur aux os qui peut . Un tiers des patients atteints d’un cancer voient se développer des métastases osseuses au cours de leur maladie, dont 70 % au niveau du rachis, principalement thoracique et .
La durée de vie avec les métastases osseuses
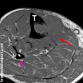
Oncogénétique ou Cancers avec prédispositions génétiques.Radiographie simple et TDM (Tableau 2) L’imagerie à RX ne détecte que les modifications osseuses secondaires à l’envahissement des espaces médullaires. Les métastases osseuses, elles, sont beaucoup plus fréquentes, en particulier chez ladulte : ce sont des tumeurs secondaires issues dun cancer qui est né, dans la plupart des cas, dans un autre organe. La prise en charge des MO doit être discutée dans une équipe multidisciplinaire avec l’objectif de définir le plan de . Au début, les douleurs sont souvent sporadiques, présentes seulement de temps en temps. Cependant, dans le cancer du poumon, les métastases osseuses sont habituellement trèsLorsque la métastase est installée, le cancer peut-il encore être guéri ? Réponses du Pr.Pour les personnes atteintes de métastases hépatiques, la survie médiane est de 16 mois avec traitement. Ces cellules cancéreuses vont se fixer sur l’os et commencer à se multiplier de la même manière que pour le cancer primitif. On peut faire disparaître ce cancer radiologiquement.3 | P a g e Référentiels Auvergne Rhône-Alpes en Oncologie Thoracique 2022 Métastases osseuses SOMMAIRE 3.Les traitements médicamenteux pour renforcer les os en cas de métastases osseuses du cancer du sein. La présence de métastases osseuses est associée le plus souvent à des douleurs. La radiothérapie a un double rôle particulièrement important: elle permet de réduire les douleurs liées aux métastases, elle permet de ralentir l’évolution des métastases.Métastases osseuses et douleurs. Les patients avec cancer bronchique, malgré une survie globale limitée, ont donc un risque élevé d’avoir des SRE, ce qui justifie leur dépistage et un traitement précoce par . Le CT scanner et la résonance magnétique permettent d’obtenir des images plus précises des métastases, d’en déterminer le volume et de voir quelle est l’importance de la destruction osseuse.C’est le cas pour les métastases osseuses. CT scanner et résonance magnétique.Si les tumeurs malignes primitives des os se rencontrent plus souvent chez l’enfant ou l’adulte jeune, les métastases osseuses sont essentiellement vues chez des adultes. Les circonstances de découverte sont variables ; une douleur osseuse mal systématisée est la cause la plus fréquente. Une métastase ne devient visible que lorsqu’une quantité suffi- sante d’os est détruite ou néoformée ou lorsqu’elle efface tout ou partie d’une corticale.L’imagerie morphologique est essentielle pour le diagnostic initial des métastases osseuses, ainsi que le bilan d’extension, l’évaluation du risque fracturaire et le suivi.Les métastases osseuses sont traitées de 2 manières.
Les métastases osseuses
Elles sont responsables d’une morbidité importante (douleurs osseuses, fractures pathologiques, compressions nerveuses, hypercalcémie) et peuvent engager le pronostic vital des patients [1].Les métastases osseuses peuvent causer des symptômes avant que la tumeur primitive ne soit suspectée; elles peuvent aussi apparaître en cas de cancer connu.Les douleurs liées aux métastases osseuses constituent un syndrome complexe mettant en jeu plusieurs composantes, inflammatoire, neuropathique, vasculaire. Sur un plan physiopathologique, les mécanismes qui précèdent la survenue de ces métastases font intervenir des étapes communes à toute dissémination métastatique (mise en place d’une niche prémétastique, chimiotactisme des cellules tumorales et . Ces douleurs sont spécifiques de par leur physiopathologie, leurs caractéristiques et leur traitement. Récemment un panel d’experts internationaux a confirmé l’intérêt des BP en proposant les amino-BP (zolédronate, pamidronate, ibandronate) pour la prise en charge des métastases osseuses dans le cancer du sein [25].

Le taux de survie à 5 ans pour les patients diagnostiqués entre 0 et 14 ans est de 75 %.On envisage la radiothérapie dans de nombreux cas de métastases osseuses afin de soulager les symptômes, comme la douleur, réduire le risque de fracture et bloquer la perte de destruction osseuse.
Métastases : peut-on guérir un cancer à ce stade
La radiothérapie des métastases dans le traitement des cancers
Les métastases rendent les os fragiles aux fractures et à d’autres complications.Quand on parle de cancer des os c’est pour désigner une tumeur qui prend naissance dans les cellules des os ou du cartilage (cancer primitif des os) ou une tumeur d’un autre organe qui se propage au niveau des os (métastases osseuses).Métastases osseuses de cancer du sein : ce qu’il faut savoir des indications de la radiothérapie Source : Quotimed La radiothérapie est très souvent utilisée pour le traitement palliatif des métastases osseuses avec un objectif antalgique, mais aussi antitumoral.
Physiopathologie des métastases osseuses des tumeurs solides
des douleurs intenses.Les métastases osseuses sont la cause la plus fréquente de douleur liée au cancer.Environ un cancer du poumon sur trois qui se métastase affectera les os. Sur le rachis, les métastases osseuses siègent essentiellement à l’étage lombaire et thoracique bas.
- Lerntechniken Arten , 15 innovative Lehrmethoden (Leitfaden + Beispiele) für 2024
- Lg Nanocell Tv 50 Zoll : NanoCell-TVs
- Lenovo Thinkpad Modelle – Lenovo ThinkPads & ThinkBooks in der großen Übersicht
- Leukämie Mit Antikörpern Behandeln
- Liberal Arts Film Streaming – Liberal Arts
- Les Pays Africains Français , Immigrés africains dans la population française
- Leseverstehen B1 Übungen Mit Lösungen
- Les Meilleurs Exercices De Musculation
- Letzte Generation Luisa Neubauer
- Let’S Play Sound _ Play sound in Python
- Lenovo Yoga Itl 14S Manual _ (Italian) User Guide HTML
- Lian Li Pc Gehäuse | ITX-Gehäuse
- Leuze Bad Stuttgart Preise – Thermen
- Levitra Filmtabletten Nebenwirkungen