Knochenbruchbehandlung _ Knochenverletzungen homöopathisch behandeln
Di: Samuel
Je nachdem, um was für eine Art von Fraktur es sich handelt, müssen unterschiedliche Maßnahmen ergriffen werden.
Wie kann man die Heilung des Knochenbruchs beschleunigen?
Schmerzen in Ruhe (mögliches Anzeichen für Osteonekrose) Bewegungseinschränkungen. Ist der Bruch an den Gliedmaßen, zeigt der Hund eine Lahmheit. Untersuchung von Nervenverletzungen, Gefühlsstörungen oder Lähmungen. Wenn ein Knochenbruch nicht heilt sollten Spezialisten den Fall übernehmen, da anderfalls eine ausbleibende Knochenbruchheilung mit Falschgelenk (Pseudarthrose) droht. kalziumreiche Ernährung. eine Bewegungseinschränkung, etwa mangelnde Funktion des Gelenks. Die meisten Brüche (Frakturen) werden durch Gewaltanwendung an einem Knochen verursacht. Solche Eingriffe führt Dr. Behandlung: Meist wird ein gebrochener Finger mit einem Gips oder einer Schiene ruhiggestellt, bei komplizierten Brüchen ist eine Operation notwendig.Diese Medikamente können helfen die Heilung zu beschleunigen.Das heißt, sie lösen sich nach einer gewissen Zeit von selbst wieder auf.Symptome: Schmerzen, Schwellung, eingeschränkte Beweglichkeit, evtl. Doch bei starker Gewalteinwirkung, etwa einem Unfall oder einem Sturz, können auch sie brechen.
Schlüsselbeinbruch: konservative Behandlung oder Operation?
Die Ursache für einen Oberarmbruch (subkapitale Humerus-Fraktur) ist die Krafteinwirkung auf die Schulter oder den ausgestreckten Arm während eines Unfalles oder bei einem Sturz. Die auf Globuli.
Knochenbruch: Was tun? Erste Hilfe Maßnahmen im Notfall
Wenn der Knochen bricht. Je schneller du medizinische Versorgung bekommst, desto geringer sind die Gefahren für eine Wundinfektion.

Grünholzbruch: Es handelt sich um einen unvollständigen Knochenbruch. Eine offene Fraktur besitzt ein hohes Infektionsrisiko und das Risiko anderer ernsthafter, körperlicher Traumata. Für die Betroffenen heißt es Schienung, Tapeverband, Schonung und Schmerzmittel.
Knochenbruch: Symptome und Heilung
Bei der Behandlung von Knochenbrüchen, in der Medizin „Fraktur“ genannt, unterscheidet man grundsätzlich zwischen konservativen Behandlungsmöglichkeiten und operativer Behandlung. Sicher ist der Bruch erst diagnostiziert, wenn Knochenfragmente oder .Lesezeit: 3 Min. mit einem Dreieckstuch bei Armbruch), ggf. Sportler verletzen sich beim Fahrradfahren oder beim Motorradfahren aber auch ein Sturz beim Reiten oder beim Skifahren kann zu dieser Fraktur führen. Eine verringerte Knochendichte erhöht das Risiko für Knochenbrüche.Anders sieht es aus, wenn der Knochen einfach nicht heilen will. Je nach klinischem Befund, Bruchart und -versorgung legt der Arzt das weitere Vorgehen fest und entscheidet, ob ein .Behandlung von Wirbelbrüchen. mit einem in Stoff gewickelten Eisbeutel .Insgesamt geht ein Knochenödem mit folgenden Symptomen einher: Gelenkschmerzen (z. Allgemeine Informationen und Prinzipien.
Knochenverletzungen homöopathisch behandeln
Eine Extremität oder ein Gelenk ist im Bereich der Fraktur ungewöhnlich beweglich. Behandlungen und Medizin /. Meist lassen sie innerhalb von sechs Wochen deutlich nach. Wirbelbrüche verursachen oft keine oder kaum Beschwerden, können aber auch manchmal zu starken Schmerzen führen.Wie ein Knochenbruch bei Kindern verheilt, zeigt auch folgendes Video: In der Regel erfolgt nach sieben bis zehn Tagen eine Röntgenkontrolle mit Gips, um die korrekte Stellung des Knochens zu gewährleisten. Winkelstabile Plattenosteosynthese / Biologische Osteosynthese.
Knochenbruch
In den Spalt wächst dann Bindegewebe ein, das später in Knochengewebe umgebaut wird. Zusätzlich Knochenzement in den Wirbel zu spritzen, ist bei den . Bei der Knochenbruchheilung (Frakturheilung) wird zwischen einer direkten und einer indirekten Heilung unterschieden.
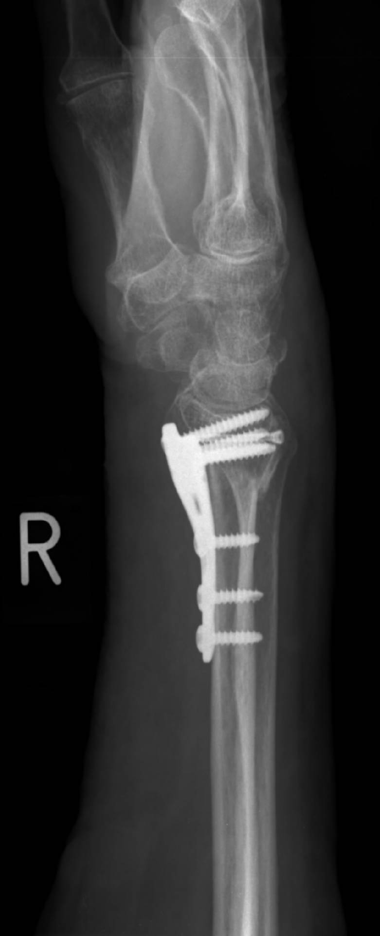
Unterarmbruch
In dieser Zeit können vor allem Schmerzmittel helfen.Bei einem Knochenbruch sind folgende Maßnahmen zu ergreifen: Rufen Sie den Rettungsdienst (112). Decken Sie offene Wunden mit sterilem Verbandmaterial ab, umpolstern Sie dabei offene Brüche vorsichtig. Die Knochendichte allein hat aber nur eine begrenzte Aussagekraft. Homöopathische Mittel werden nicht zur Behandlung der Verletzung verordnet, sondern zur Linderung der Beschwerden.Operative Knochenbruchbehandlung. Allein vom Knochendichtewert sollte man sich deshalb nicht verunsichern lassen – oder sich gar . Einige Wochen bis Monate sind durchaus möglich. auch eine unnormale Beweglichkeit ist ein klarer Hinweis auf einen . Nach einem Knochenbruch kann man verschiedene Maßnahmen ergreifen, um die Heilung zu fördern.Spiralbruch: Die Fraktur verläuft meist diagonal entlang des Schaftes. Geschichte der operativen Knochenbruchbehandlung. In manchen Fällen bleibt die Neigung zu einer Schwellung, zum Beispiel bei körperlicher . Humpelt das Kaninchen und/oder zieht es eine . PDF herunterladen. Ärzte sprechen von einer sogenannten Pseudarthrose oder Pseudoarthrose, wenn es sechs Monate nach einem Bruch nicht zu einer . Ein Mittelhandknochenbruch kann bei jedem der Mittelhandknochen vorkommen. Fehlstellung, sichtbare Knochenfragmente bei offener Fraktur. Schwellungen und Rötungen. Diagnose: Ein Röntgenbild hilft, die Fraktur und ihr Ausmaß festzustellen. Gehen ist nach einem Knöchelbruch nicht mehr möglich. Dank ihrer einzigartigen Leichtbauweise sind unsere Knochen so stark wie Stahl und gleichzeitig sechsmal leichter. Knochen können durch Verletzungen, Verrenkungen und durch übermäßige Belastung verletzt werden. Durch den Bruch kommt es zu Schmerzen, Blutergüssen und Schwellungen in der Mittelhand und häufig auch zu Fehlstellungen durch eine .Bevor die Behandlung eines Knochenbruchs erfolgen kann, muss zunächst eine gesicherte Diagnose gestellt werden. Das ist die Zeit, an der die auf die Operation zurückzuführende Schwellung zurückgeht.Wichtiger Hinweis .Bei einem Unterarmbruch muss zeitnah ein Arzt aufgesucht werden. 5 Minuten Lesezeit. Orthopädische Erkrankungen. So geht man zum Beispiel beim Knochenmarködem-Syndrom davon aus, dass dieses nach etwa sechs bis neun Monaten von allein wieder verschwindet. Knochenbruch-Diagnose: Anamnese, körperliche Untersuchung und bildgebende Verfahren (primär Röntgen, in komplexen Fällen auch CT oder MRT).
PEDE Zentrum für Fuß und Sprunggelenk
Gelenkersatz bei Knochenbrüchen. Knochenverletzungen müssen ärztlich .Der Knochen erhält die benötigten Nährstoffe besser.Knochen- und Gelenkbrüche. In der ärztlichen .
Osteoporose: Vorbeugung und Behandlung
Aktualisiert am: 19. Häufigkeit: Fingerbrüche zählen zu den häufigsten Verletzungen im . Innen- und Außenbänder sorgen zudem für Stabilität.Schnellere Heilung nach Knochenbruch.In vielen Fällen ist eine konservative Behandlung des gebrochenen Schlüsselbeins ausreichend.Die Diagnose Knochenbruch wird meist durch eine Röntgenuntersuchung gestellt.Um den Knochenbruch bilden sich häufig Hämatome oder Weichteilschwellungen. In den meisten Fällen ist es der Knöchel des Wadenbeins, der bei einer Sprunggelenksfraktur bricht. In der Behandlung von Knochen- und Gelenkbrüchen steht grundsätzlich die operative Therapie der konservativen (nicht-operativen) Therapie gegenüber.
Knochen- und Gelenkbrüche: Ursachen, Diagnose, Therapien

Knochenbruch-Arten: Es gibt offene und geschlossene Brüche (auch Frakturen genannt), aber auch die Unterscheidung nach dem Ort, Verlauf und Ausmaß der Fraktur. Damit es zu keinen Komplikationen und bleibenden Schäden kommt, gehören Knochenbrüche in die Hände eines guten und erfahrenen Orthopäden . Bewegungsmangel.Heilungsdauer: In einem Großteil der Fälle heilt der Knochenbruch in vier bis sechs Wochen aus. Nur bei offenen, verschobenen oder komplexen Frakturen oder zusätzlichen Gefäßverletzungen sowie bei Brüchen an den Enden des Knochens kommt die konservative Therapie an ihre Grenzen.Knochenbruch bei Kindern Kindliche Knochen haben ein größeres Risiko Frakturen zu erleiden als die Knochen eines Erwachsenen. Mitunter kann die Schwellung auch schon nach einigen Tagen zurückgehen. Beinwell unterstützt die Neubildung von Knochen an der Bruchstelle, was insbesondere auf die darin enthaltenen Wirkstoffe Allantoin und Rosmarinsäure zurückzuführen ist. Bei der Wahl eines Behandlungskonzeptes müssen neben der Bruchform und -lokalisation auch patientenspezifische Faktoren wie Vorerkrankungen und der . Ob zusätzlich Medikamente zur Stärkung der Knochen sinnvoll sind, hängt vom Alter und anderen persönlichen Risikofaktoren für einen Knochenbruch ab. Operieren wird der Arzt auch dann, wenn nach konservativer Behandlung erneut eine Fehlstellung auftritt oder die betroffene Extremität .

Unterversorgung mit Vitamin D und Kalzium. [1]
Knochenbruch heilt nicht

gehäuftes Auftreten von Hüftbrüchen in der Familie.Wie lange eine Schwellung nach einem Knochenbruch andauert, kann deshalb nicht pauschal angegeben werden. einer verzögerten Knochenheilung! Bei Diagnose „Knochenbruch Mittelfuß“ müssen zwei Gruppen unterschieden werden: Knochenmarködem und .Sie umschließen das Sprungbein.Überblick über Knochenbrüche. Nach einer Sprunggelenksfraktur spüren alle Patienten sofort einseitig heftige Schmerzen und eine resultierende Instabilität beim Gehen und Stehen.
Schnellere Heilung nach Knochenbruch
Handelt es sich um eine offene Wunde, müssen Knochenbruch und Hautverletzung gleichzeitig behandelt werden. Sturzunfälle sind die häufigste Ursache von Knochenbrüchen. Ursache ist eine übermäßige Drehung des Knochens. Fehlstellungen des Knochens sind ebenfalls ein eindeutiges Symptom. Ursächlich ist hierbei, dass das Knochengerüst (Skelett) sich beim Kind noch in der . Frakturen sind in der Regel auf Verletzungen oder Überbeanspruchung zurückzuführen.Untersuchung von Gefäßverletzungen.

Nicht selten kann zudem eine abnormale Stellung der gebrochenen Gliedmaße beobachtet werden. Der Arzt kann die Beweglichkeit prüfen. Verletzungen im Kindesalter. Diese Art von Knochenbruch findet sich häufig bei kleineren Kindern.Symptome eines Knochenbruchs beim Kaninchen. Bei der direkten Heilung haben die beiden Knochenenden der Fraktur Kontakt zueinander. Knirschen oder andere Geräusche bei Bewegung als sicheres Anzeichen eines Bruchs. am Knie, an der Schulter, am Sprunggelenk oder an der Hüfte) starker Belastungs- oder Druckschmerz. Die kleinen Zehnen werden meist konservativ behandelt. Es erfolgt die Befragung des Patienten (Anamnese) und die körperliche Untersuchung mit gründlicher Begutachtung des Fußes. Eine Operation kommt dann in Frage, wenn die Knochenbruchstücke keinen ausreichenden Kontakt haben oder sich verschobene Brüche nicht mehr richtig positionieren lassen. Angewendet wird sie in etwa ab dem fünften Tag nach der Operation. Neben einigen alternativmedizinischen Medikamenten, wie z. Überprüfen Sie die Vitalparameter, führen Sie alle Lebensrettenden Maßnahmen durch, unabhängig vom Verletzungsmuster. Wir haben große Erfahrung, wenn der Frakturspalt nicht heilt, bzw.
Überblick über Knochenbrüche
Gute Maßnahmen, um einer Osteoporose vorzubeugen, sind: aktiv sein. Bei einem Knochenbruch ist die frühzeitige Therapieplanung für den Heilungserfolg von entscheidender Bedeutung. Operiert wird vor allem bei Brüchen am Grundglied der großen Zehe oder bei offenen Brüchen einer .
Knöchelbruch

niedriges Körpergewicht: BMI bei Erwachsenen unter 20 kg/m². , MD, University of California, San Francisco.Knochenbruchbehandlung.de zur Verfügung gestellten Informationen sowie Kommentare und Diskussionsbeiträge können und dürfen nicht zur Erstellung eigenständiger Diagnosen und/oder einer eigenständigen Auswahl und Anwendung oder Absetzung von Arzneimitteln, sonstigen Gesundheitsprodukten oder .Lumedis – Ihre Spezialisten für nicht heilende Brüche. Der Bruch oder die Verrenkung können in bildgebenden Verfahren wie Röntgen oder Computertomographie (CT) sichtbar sein. viel Zeit im Freien verbringen. Welche Option die passende ist, richtet sich in jedem Fall nach Lage, Ausmaß und Art des .Knochenbruch-Symptome: Schmerzen, Schwellungen, Blutungen, Deformitäten, Funktionsverlust, Empfindlichkeit und Bewegungseinschränkungen des betroffenen Bereichs.Der Zehenbruch kann ohne oder mit Operation behandelt werden, was vom Befund abhängt. Diese Symptome können jedoch nur auf einen Bruch hindeuten, sie kommen jedoch auch bei anderen Erkrankungen vor. Rufe sofort den Notarzt an. Ein Knochenbruch oder eine Fraktur ( lateinisch fractura ‚Bruch‘, von lateinisch frangere ‚brechen‘ [1] ), veraltet auch Beinbruch, ist eine Unterbrechung der Kontinuität eines Knochens unter Bildung zweier oder mehrerer Bruchstücke (Fragmente) mit oder ohne Verschiebung ( Dislokation ).Bei der Operation werden die Knochenteile wieder fest zusammengefügt und können danach in der richtigen Stellung zueinander ausheilen.

Oberarmbruch
Ein Bruch (Fraktur) ist ein Anriss oder Bruch eines Knochens. hochlagern, geschlossenen Bruch vorsichtig kühlen (z. Wenn nach einem Unfall oder Sturz starke Schmerzen, Schwellungen und Bewegungsunfähigkeit im Bereich des Unterarms auftreten, liegt womöglich eine Fraktur zugrunde. Schwellungen und große Schmerzen sind die Folge.
Knochenbruch: Infos & Ärzte zur Behandlung von Frakturen
Symptome: Ein gebrochener Finger löst Schmerzen, oft Schwellungen, Blutergüsse und eine eingeschränkte Beweglichkeit aus. Erste Hilfe: verletzten Körperteil ruhigstellen und stabilisieren (z. Dabei sind, je nach Umfang der Verletzung, auch zusätzliche Verletzungen des Innenknöchels und/oder der Bänder möglich. Hörbares Knistergeräusch, wenn . Böhr meist als ambulante OP unter Lupenbrillenvergrößerung durch. Diese erfolgt neben klinischen Tests in der Regel auch per Röntgenaufnahme oder Computertomografie ( CT ).Schnelle Hilfe bei einer offenen Fraktur.Wenn die Knochendichte einen bestimmten Wert unterschreitet, spricht man von Osteoporose. Im Schnitt heilt ein Knochenbruch, abhängig von Alter der Betroffene:n und Lokalisation des Bruches, in etwa sechs bis 24 Wochen. Unmittelbar nach der Verletzung sollte die betroffene Stelle gekühlt werden.Allgemeine Behandlung und Therapie von Frakturen. Calcium phosphoricum und auch Arnica kommen auch einige Medikamente, die auch bei der Osteoporosebehandlung eingesetzt wird, zum Einsatz. Zu nennen wären die Medikamente aus der Gruppe der . Aus diesem Grund kann eine Wärmetherapie die Knochenbruch Heilungsdauer beschleunigen.Sichere Fraktur-Symptome sind: Fehlstellung der Gliedmaße und des Knochens. Komplikationen und Spätfolgen: Mögliche Folgen sind Funktionseinschränkungen der Hand, Empfindungsstörungen und anhaltende . Zur Behandlung eines Knochenbruchs stehen konservative und operative Methoden zur Verfügung. Knochennagelung / Elastische Markdrahtung.

längerfristige Einnahme von Medikamenten, die Osteoporose verursachen können.
Mittelhandknochenbruch
Symptome: Schmerzen, aber auch Fehlstellungen, Knirschgeräusche, Schwellungen und Hämatome (Blutergüsse) Erste Hilfe: Den Notarzt rufen, den .
Knochenbruch: Symptome eines Bruchs erkennen
übermäßiger Alkoholkonsum.
Distale Radiusfraktur: Behandlung & Spätfolgen
eine Schwellung. Dann lassen die Schmerzen nach und das Ödem heilt ohne gesundheitliche Folgen ab.
Wie lange dauert die Schwellung nach einem Knochenbruch an?
Das erste und zudem wohl offensichtlichste Anzeichen eines Knochenbruchs beim Kaninchen ist die Schonung der betroffenen Gliedmaße.
- Koffer Mini Cooper – Koffer Mini Cabrio, Gebrauchte Autoteile günstig
- Knoblauch Ketchup Born | Knoblauch Ketchup
- Kochanski Bad Soden Friseur , DKMS LIFE I Partnersalons
- Kohlenmeiler Aus Holz : Kohlenmeiler: Vorbereitung beginnt
- Ko Samet Wetter 14 Tage – Wetter Wetterstation Ko Samui: 16 Tage Trend
- Kniescheibenbruch Schön Klinik
- Klinische Notfallmedizin Weiterbildung
- Knorpelkirsche Gelb Kaufen | Süßkirsche
- Ko Schläge Im Boxen : Box Regeln: Runden, Punkte, Kampfabbruch & Mehr
- Knochenaufbau Unterkiefer Komplikationen
- Klinkenstecker Adapter Usb C : Hama 00200318 Audio-Adapter USB-C
- Knossi Casino Gewinner | Knossi, der König des Internets