Ist Der Zahnschmelz Einmal Verlorengegangen?
Di: Samuel
Die Amelogenese ist die Bildung von Zahnschmelz, die in zwei Phasen von den Ameloblasten durchgeführt wird. Manchmal sind die .Künstlicher Zahnschmelz. Die Folge sind schmerzempfindliche Zähne, kleine Defekte und ein erhöhtes Risiko für Karies. Gumpert nicht möglich.Ist der Begleiter nicht in einem Kampf verloren gegangen, sondern einfach so verschwunden, so ist die Chance sehr groß, ihn lebend wiederfinden zu können. Dank der wissenschaftlich bestätigten Formulierung wird durch Säure geschwächter Zahnschmelz aktiv gestärkt. Dann verkehrt sich der Schönheitseffekt ins Gegenteil: Die Zähne sehen wieder gelb aus.
Zahnschmelz
Der Schmelz ist aus . Er umgibt das Zahnbein und übernimmt eine schützende Funktion.
Zahnschmelz-Ersatz: Diese Möglichkeiten stehen zur Verfügung
Hier hilft nur noch der Gang zum Zahnarzt, da sonst der Verlust vom Zahn nicht auszuschließen ist.Liegt die Ursache des Knirschens in einer zu großen Krone oder Füllung, kann der Zahnarzt diese ganz einfach abschleifen. Die einzige Möglichkeit den Zahnschmelzdefekt zu reparieren, ist die Füllungstherapie. Für gewöhnlich tritt die Zahnschmelz-Hypoplasie während der Zahnbildungsphase auf.
Wie kann man Zahnschmelz aufbauen?
In der Zahnarztpraxis Dr. Es wird dabei vorausgesetzt, dass Sie über ein Ledger-Reserve- oder -Ersatzgerät verfügen und Zugang zu Ihrer 24-Wörter-Wiederherstellungsphrase haben. Lebensmittel, die reich an Kalzium und Phosphat sind, wie Milchprodukte, Fisch und Blattgemüse, helfen, den Zahnschmelz zu stärken und fördern den Aufbau von Zahnschmelz.Er ist härter als Knochen und schützt unsere Zähne vor Kälte, Karies und Abnutzungsschäden: der Zahnschmelz.
Zähne ohne Zahnschmelz?
FOCUS Online erklärt, was dem wichtigen Zahnschmelz schadet. Je öfter und länger sich Zucker im Mund befindet, desto mehr wird der Zahnschmelz angegriffen und demineralisiert – also zerstört.Wenn das Vertrauen verloren ist, was bleibt dann noch übrig? Der Grundstein jeglicher Art der zwischenmenschlichen Beziehungen ist das Vertrauen. Durch den kristallinen Aufbau . Schmelz ist zu 95 % anorganisch und besteht weitgehend aus dem Phosphat [Ca 5 (PO 4) 3 OH]x2 . Im Körper des Menschen ist Zahnschmelz das härteste Gewebe mit einer Mohshärte 5. Insofern sollten säurehaltige Lebensmittel und Getränke so weit wie möglich gemieden werden. Eine zahngesunde Ernährung spielt eine wesentliche Rolle beim Schutz und Erhalt des Zahnschmelzes. Mit der Zeit und bei falscher Pflege geht der Schmelz langsam zurück.
Zahnschmelz: Reparieren, Aufbauen & Stärken
Bei allen weiteren Mitteln, wie etwa natürlichen Mitteln oder Hausmitteln, . Neben stark säurehaltigen Lebensmitteln, und hier insbesondere Fruchtsäuren, können Defekte am Zahnschmelz auch durch starke mechanische Belastungen entstehen.Der ist an sich erst einmal ganz harmlos. Doch wie kann man sich dagegen schützen, dass der Zahnschmelz zerstört wird? Zunächst gilt: Nach dem Genuss von säurehaltigen Speisen sollte man . Der Zahnschmelz ist das härteste Gewebe im menschlichen Körper.Zahncremes, die versprechen künstlichen Zahnschmelz herzustellen, der beim Putzen aufgeputzt wird, können ihrer Werbeversprechen nicht halten.Wenn Sie ernsthafte Probleme mit Ihrem Zahnschmelz haben, ist es ratsam, einen Zahnarzt aufzusuchen, um eine professionelle Beurteilung und geeignete Behandlungsmöglichkeiten zu erhalten.
Zucker und Zähne: Was beim Verzehr von Süßem wirklich zählt
Zahnmedizin: Gel lässt Zahnschmelz neu entstehen
Für die Versorgung dieser Zahnlücke bieten wir unserer Praxis verschiedene Formen des Zahnersatazes an.
Wie schützen Sie Ihren Zahnschmelz?
Der Weisheitszahn besteht, wie alle anderen Zähne des bleibenden Gebisses auch, aus der Zahnkrone (Corona dentis), dem Zahnhals (Cervix dentis) und der Zahnwurzel (Radix dentis).
Künstlicher Zahnschmelz
September 2019.
Zahnschmelz stärken
Zähne abschleifen kann Unebenheiten korrigieren.
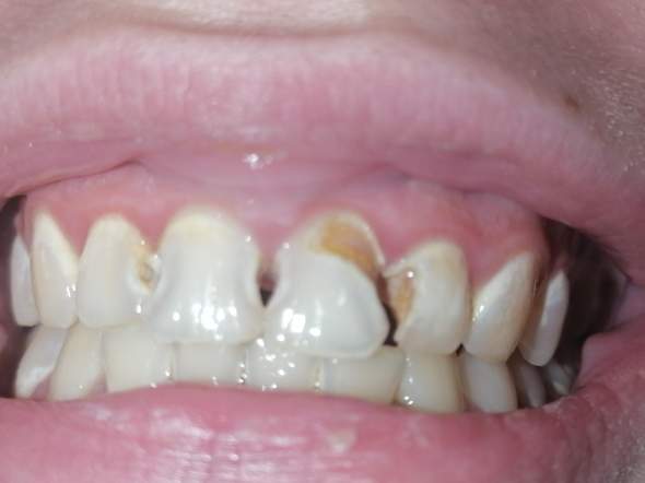
Zahnschmelzabbau
Säure begünstigt den Zahnschmelzabbau, vor .Der Zahnschmelz, auch Adamantin . Erste Hinweise sind: Gelbe Verfärbungen: Das darunterliegende Dentin ist im Gegensatz zum Zahnschmelz gelblich.
Zahnschmelzdefekte: Wenn der Schutz langsam schwindet
von Jörg Schieb | 14. Hier lesen Sie, in welchen Fällen Sie mit dem Zähneputzen etwas warten sollten. Eine selbstständige Regeneration ist daher nicht möglich. Die fortschrittliche Formulierung von ProSchmelz Repair kann helfen, Fluorid und Kalzium, die für die Wiederverhärtung des . So etwas ruft bei Word-Benutzern gerne Panik hervor, denn der Text scheint erst mal verloren. Sie bestehen aus Kalzium Fluorid, Kalzium Phosphat und Kalzium Karbonat.Zahnschmelzabbau ist ein häufig verbreitetes Phänomen, das vor allem durch falsches Zähneputzen oder säurehaltige Speisen und Getränke verursacht wird. Bei einem Zahnverlust ist schnelles Handeln gefragt.Möglicher Ersatz für Ihren Zahnschmelz. Gerade deshalb sind die Stärkung und Pflege des Zahnschmelzes sehr wichtig. Das Ergebnis ist ein Zahn mit Schmelzdefiziten oder aber geringer Gewebequalität. Das galt bislang – jetzt ist es einer Gruppe von Wissenschaftlern gelungen, Zahnschmelz im Labor nachzubilden. Ist der Absender ein gewerblicher Verkäufer (bspw. Hierbei handelt es sich in vielen Fällen um eine falsche Mundhygiene, bei der mit zu harten Zahnbürsten oder zu starkem .Die neue ProSchmelz Intensivschutz Zahnpasta erhöht die Widerstandsfähigkeit des Zahnschmelzes – zum Schutz vor Karies und Erosion (säurebedingtem Zahnschmelzabbau). Vor allem im Bereich der Zahnkronen sitzt eine große Menge Zahnschmelz. Das Problem: Ist der Zahnschmelz erst einmal verloren, kann der Körper ihn nicht von selbst wieder nachbilden. Auch der Aufbau von Zahnschmelz durch einen Zahnarzt ist nicht möglich.Auch schmerzempfindliche Zähne können durch Zahnschmelzverlust bedingt sein.Bevor der Zahnschmelzabbau aber so weit fortgeschritten ist, dass der Mensch Schmerzen wahrnimmt, ist er von Laien nur schwer zu erkennen.Mit einer Zahnfüllung ersetzt der Zahnarzt gewisse Strukturen eines Zahns, die zum Beispiel durch Karies oder einen kleinen Unfall verloren gegangen sind. Da Zahnschmelz weder mit Nerven noch mit Blutgefäßen durchzogen ist, kann der Körper . Alle Söldner gehen automatisch zu Ihrem Ausgangspunkt zurück. Demzufolge ist das Vertrauen von großer Bedeutung. Mehr zu Zähneknirschen.Ist der Zahnschmelz erst mal weg, kann er nicht wiederhergestellt werden. Zahnschmelzabbau zählt zu den besonders häufig auftretenden Zahnproblemen.Mit diesen Gewohnheiten kannst du deinen Zahnschmelz stärken: 1. Dabei kommen unterschiedliche Füllungen zum Einsatz.Ein Word-Text ist verloren gegangen. Je mehr Zahnschmelz verloren geht, desto deutlicher schimmert die gelbe .Denn säurehaltige Lebensmittel aber auch nächtliches Knirschen greifen die Außenschicht des Zahns an.Der Zahnschmelz besteht zu circa 98% aus anorganischen Substanzen (v. Er enthält Verbindungen von Calcium, Phosphor, Magnesium, Natrium, daneben sind Proteine und Fette am Aufbau beteiligt. Wir nennen Ihnen die wichtigsten SOS-Tipps, um Ihren Zahn rechtzeitig retten zu können. Was jedoch möglich ist, ist die Stärkung des Zahnschmelzes durch spezielle Zahncremes.

Zähne mit Backpulver putzen
Der Zahnarzt ist trotzdem eine große Hilfe.Anatomie & Aufbau. Eine mineralstoffreiche Ernährung mit wenig Zucker und fluoridhaltige Zahnpasta stärken den Schmelz und machen ihn widerstandsfähig .
Zahnschmelzerosion Zahnschmelzabbau
Fluoridbehandlung: Der Zahnarzt kann eine fluoridhaltige Paste oder ein Gel auf die betroffenen Zähne auftragen, um das Mineral im Zahnschmelz zu stärken und den Zahn zu schützen.Ist Zahnschmelz verloren gegangen, setzen wir Füllungen ein oder stabilisieren den Zahn mit einer Krone. Warum manche Menschen ihre Zähne daheim selbst abschleifen und wie gefährlich das ist, erfährst Du hier!

Ein Zahn ist aus mehreren Schichten aufgebaut. Wenn man jemanden fragt, was für einen Partner er sich für eine feste Beziehung wünscht, ist die Antwort fast immer einen treuen und ehrlichen. Die besten Zahnpasten für einen starken Zahnschmelz.Dieses Tutorial beschreibt, welche Schritte Sie unternehmen müssen, wenn Ihr Ledger-Gerät verloren gegangen ist oder gestohlen wurde. Elmex Gelee ist eine Fluoridpaste, die die Demineralisation der Zähne stoppen kann.Ist der Zahnschmelz einmal beschädigt und verschwunden, lässt er sich nicht mehr wiederherstellen. die Stärkung des Mineralhaushaltes im Körper verwendet werden.000,- DM, der im Grundbuch von N. Um ungünstigsten Fall wird sogar das Zahnfleisch gereizt und zieht sich zurück. Zahnschmelz, Zahnbein (Dentin) und . Daher werben einige Hersteller von Zahnpflegeprodukten damit, dass ihre Produkte den Zahnschmelz aufbauen.

Im nächsten Schritt will das Forschungsteam den Prozess weiter verfeinern, und einen verbesserten Labor-Zahnschmelz herzustellen, der genauso haltbar wie natürlicher Zahnschmelz ist. einmal in der Woche die Zähne mit Elmex Gelee einzureiben oder zu putzen.

Zahnschmelz (Enamelum) aufbauen und stärken
Doch nach dem Verzehr der süßen Kristalle scheiden die Bakterien Säure aus, die den Zahnschmelz angreift. Durch das Wahrnehmen von regelmäßigen Zahnarztterminen .Trotz ihres geringen Anteils sind die sogenannten Schmelzmatrixproteine (SMP), unter ihnen das Amelogenin, essentiell für die biomechanischen Eigenschaften des Zahnschmelzes. Das sind zum einen kurze Kohlenhydrate wie Zucker oder weißes Mehl, zum anderen können aber auch säuerliche Lebensmittel die Zähne angreifen. Lebensjahr ist ein Zahnverlust durch Karies meist der erste, den wir kennenlernen. Sie verfügen über sogenannten zwischenprismatischen Schmelz, der die Funktion besitzt, das Gewebe zu stabilisieren. Der Zahnschmelz, als äußerste Schicht des . Allerdings ist das laut Zahnarzt Dr.Ist Dein Zahnschmelz einmal komplett weg, hilft nur noch eine Füllung oder eine Krone. eingetragen war. Verbessert die Remineralisation. Der Zahnschmelz erneuert sich nicht von alleine, aber es gibt künstlichen Zahnschmelz als Ersatz. Ist er einmal weg, kommt er nicht wieder.Zahnschmelz-Reparatur mit der richtigen Ernährung. Diese Demineralisation mit der damit verbundenen Erosion erfolgt natürlich genauso, wenn man die Zähne mit Lebensmitteln und Getränken mit einem hohen Säuregehalt in Verbindung bringt. In sehr schweren Fällen muss der Zahn entfernt werden. Word verfügt jedoch über . Der hohe Fluoridanteil in diesem Gel kann dafür sorgen, dass der Zahnschmelz weniger empfindlich gegenüber Säure ist. Dabei werden kleine Risse geschlossen und der vorhandene Schmelz vor Säure geschützt.
Zahnschmelz: Was ihm schadet und wie Sie ihn stärken
Suchen Sie die Stadt oder das Dorf auf, wo Sie ihn rekrutiert haben.Viele übersetzte Beispielsätze mit ist verloren gegangen – Englisch-Deutsch Wörterbuch und Suchmaschine für Millionen von Englisch-Übersetzungen. Daher ist davon abzuraten.

Der Zahnschmelz ist eine Substanz im Körper, die nicht von Nerven durchzogen ist und nicht durchblutet wird. Diese machen den Zahnschmelz widerstandsfähiger und beugen dem Verlust vor. Eigentlich wird aber kein neuer Schmelz aufgebaut, sondern vorhandener gestärkt und geschützt. Da der Zahnschmelz nicht wiederhergestellt werden kann, wird durch den Zahnarzt eine Füllung oder Krone eingesetzt. Aber nicht nur Hausmittel, auch spezielle Zahnpasten können den . Leider kann man einmal verlorenen Zahnschmelz nicht .Intakter Zahnschmelz ist für die Gesundheit unserer Zähne unerlässlich. Zahnfüllung: Wenn der Schaden am Zahnschmelz tief genug ist, um ein Loch zu verursachen, kann der Zahnarzt eine Füllung verwenden, um das Loch .Der verlorene Grundschuldbrief: Ein juristisches Rätsel.Wenn Sie Empfänger sind und vermuten, dass Ihr Paket verloren gegangen ist, dann sollten Sie sich mit dem Absender in Verbindung setzen. Bestimmte Lebensmittel sorgen dafür, dass der pH-Wert sinkt, also saurer wird. Außerdem informieren wir .Ursachen für einen Zahnschmelzdefekt. Ärgerlich: Beim Schreiben eines längeren Textdokuments fällt der Strom aus oder der Rechner hängt sich aus unerklärlichen Gründen auf. Alles ablehnen. Dabei werden Säuren freigesetzt, die die Zahnhartsubstanz, d. Denn Säuren erweichen den Zahnschmelz und begünstigen so die Zahnerosion.Wenn der Zahnschmelz einmal zerstört ist, dann kann er sich nicht wieder selbst regenerieren. Die entstehenden Hydroxylapatit-Kristalle binden . Hydroxylapatit), circa 1-2% sind organisch.
Zahnschmelz aufbauen & Zahnschmelzabbau stoppen
Fazit: Harte Schale, schmerzempfindlicher Kern: Pflegen Sie Ihre Zähne gut und lassen Sie am besten gar nicht erst zu, dass der natürliche Zahnschmelz Schaden leidet. Wenn Ihre 24-Wörter . Das heißt: Vermeiden Sie vor allem Limonaden und Soft-Drinks (auch „Zero“-Produkte!)
Zähne abschleifen: gefährlich oder medizinisch notwendig?
Eine Zahnschmelz-Hypoplasie bezeichnet einen Zustand des Zahngewebes, der mit einer fehlerhaften Entwicklung zu tun hat.Dann besorgen Sie sich eine Verordnung vom HNO -Arzt, auf der steht, dass das Hörgerät verloren wurde. Karies wird durch Zahnbelag (Plaque) verursacht. Dort sollte er sich in der Regel auch wieder .Er besteht aus einer Mischung aus Kalzium, Phosphor, Natrium und Magnesium, auch Hydroxylapatit genannt. Dieser Zahnbelag enthält Bakterien, die sich von Zucker aus der Nahrung ernähren. Und das ist irreparabel.Wenn Sie nach dem Verzehr gewisser Lebensmittel direkt die Zähne putzen, kann das zu Zahnschmelzabbau führen.
So schützen Sie Zahnschmelz
Diese Säure löst nach und nach die Mineralien aus dem Zahnschmelz und erzeugt Löcher auf der Zahnoberfläche. V ermeide zu viel Säure.Der Zahnschmelz besitzt einen kristallinen Aufbau aus nicht sichtbaren, zum Zahnbein senkrecht verlaufenden Prismen, die bandförmig zu Bündeln zusammengefasst sind. Künstlicher Zahnschmelz, auch als Zahnschmelzreparatur oder Zahnschmelzrestauration bekannt, bezieht sich auf Technologien und Behandlungen, die darauf abzielen, den natürlichen Zahnschmelz zu stärken, zu reparieren oder zu ersetzen.Ist erst einmal ausreichend viel Zahnschmelz verloren gegangen, wird das Zahnbein sichtbar. Hangzho – Chinesische Forscher haben ein Gel entwickelt, das im Prinzip die Bildung von neuem Zahnschmelz ermöglicht. Zur Stärkung des Zahnschmelzes werden die Schüssler Salze 12 und 22 empfohlen. Denn auch künstlich kann kein Zahnschmelz gebildet werden. Remineralisiert den Zahnschmelz. Im Kern des Falles geht es um einen Grundschuldbrief über 300. Lassen Sie beim Hörakustiker eine neue Hörprüfung durchführen und sich bescheinigen, dass das Gerät verloren wurde. Treuheit beraten wir Sie im Fall von . Da der Zahnschmelz aus abgestorbenen Zellen besteht, enthält er kein Nervengewebe und ist .

Kaum zu glauben, wenn Sie bedenken, dass . Die äußerste Schicht, der Zahnschmelz (Enamelum) ist die härteste im menschlichen Körper .In Sachen Zahnschmelzabbau ist das ganz und gar nicht der Fall., die ursprüngliche Inhaberin des Grundschuldbriefs, hatte beim Amtsgericht Köln das Aufgebot und die Kraftloserklärung dieses Grundschuldbriefs beantragt. Stellen Sie nun einen Antrag auf Kostenübernahme für verlorene Hörgeräte und legen Sie diese Unterlagen bei.Der Begriff Schüssler Salze bezeichnet 27 verschiedene Arzneimittel, die für den Aufbau bzw. Nach einer gewissen Zeit müssen Zahnfüllung jedoch ausgetauscht werden. In diesem Artikel erfahren Sie was eine Zahnfüllung genau .

Das macht die Zähne anfälliger für Karies.Ratsam ist es aber, bei Zahnschmelzabbau ca.
- Ist Der Milchschaum Zu Heiß? _ Wie gelingt Milchschaum? Die schaumige Kunst der Latte Art
- Ist Eine Gewerbliche Untervermietung Steuerpflichtig?
- Ist Das Baby Älter Als Drei Monate Und Kann Sich Selbst Drehen?
- Ist Es Erlaubt In Shisha Bars Zu Gehen?
- Isset Vs If Exists , Decoding PHP’s Empty Value Functions: When to Use Which
- Ist Ads Vererbbar? | Wie entsteht ADHS? Mögliche Ursachen und Risikofaktoren
- Ist Die Absetzbarkeit Der Notarkosten Geregelt?
- Ist Die Besteuerung Von Kryptowährungen Verfassungswidrig?
- Ist Eine Erwerbsminderungsrente Versicherungspflichtig?
- Isrg : Intuitive
- Island Webcam Live Vulkan _ Svartsengi
- Iso 45001 Anleitung Deutsch : Arbeitssicherheit und Gesundheitsmanagement
- Ist Eine Gesonderte Eintragung Im Grundbuch Des Herrschenden Grundstücks Notwendig?