Hirnabszess Symptome : Intrakranialer Epiduralabszess und Subduralempyem
Di: Samuel
Eine Mastoiditis kann mit diesen Symptomen einhergehen: zunehmende Ohrenschmerzen. Abszesse im Bauchraum haben meist Fieber und . Hierzu zählen zum Beispiel auch epileptiforme Anfälle oder Krampfanfälle. durch spitze Gegenstände sowie beim Rasieren oder in seltenen Fällen auch durch verunreinigte Injektionsnadeln.Erste Symptome einer neurologischen Borreliose können innerhalb von Wochen bis Monate auf sich warten lassen.

Da die Rückenmarknerven auf ganz bestimmte Weise angeordnet sind, kann der Arzt anhand der Symptome und einer körperlichen Untersuchung feststellen, welcher Abschnitt des Rückenmarks betroffen ist. Ursachen und Risikofaktoren: Meist Bakterien, die über Wunden, Operationen, Spritzen oder andere Infektionswege in den Körper gelangen.

Symptome, Beschwerden & Anzeichen. Oder ein Blutgerinnsel kann in einer großen Vene (Hirnsinus), die Blut vom Gehirn abträgt, entstehen. Im Verlauf, mit zunehmender Reifung des Abszesses, können zudem folgende Symptome auftreten:
Bandwurm
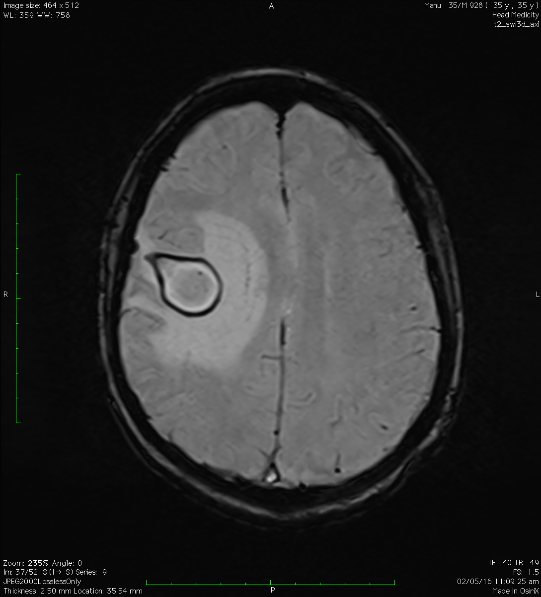
Gehirnabszess
Symptome: Druck- und schmerzempfindliche Schwellung und Rötung hinter dem Ohr, Fieber, nachlassendes Hörvermögen, Abgeschlagenheit, Flüssigkeitsausfluss aus dem Ohr; bei maskierter Form eher unspezifische Symptome wie Bauch- und Kopfschmerzen. Übelkeit, Erbrechen, Durchfall oder Bauchschmerzen. Kommentare Über Mit freundlicher Genehmigung von . Die Betroffenen klagen über zunehmende Kopfschmerzen, Übelkeit und Erbrechen.Aufgrund der Vielseitigkeit von Abszessen können auch die Symptome sehr unterschiedlich ausfallen. Bewusstseinsstörungen. Progressive multifokale Leukenzephalopathie (PML) Tollwut . Wächst der Hirntumor sehr schnell, verstärken sich die bestehenden Symptome oft, und je nach Lage des Tumors kommen . Persönlichkeits- oder Verhaltensänderungen. Einige der häufigsten Symptome einer Nebenhöhlenentzündung sind Schmerzen, Empfindlichkeit, Nasenverstopfung und Kopfschmerzen. Einblutungen in die Haut, Organinfarkte, Atemnot, Bluthusten. Oder die Betroffenen können das Gefühl haben, dass sie eine Erkältung oder Grippe bekommen. Dieser Hohlraum bildet sich durch den Abszess. Die Frühsommer-Meningoenzephalitis (FSME) ist eine von Zecken übertragene Krankheit, bei der sich die Gehirnhäute und das Gehirn entzünden können. Diagnostik – Die bildgebende . Eine Eiteransammlung in oder auf der Haut kann sich auch aus einem Furunkel entwickeln.
Symptome vom Hirntumor bei Ihrer Katze
Symptome: allgemeine Symptome wie leichtes Fieber, Nachtschweiß, ungewollter Gewichtsverlust. Diese führt dazu, dass die Neuroborreliose manchmal mit FSME (Frühsommer-Meningoenzephalitis) verwechselt .Hirnabszess – Erfahren Sie in der MSD Manuals Ausgabe für Patienten etwas über die Ursachen, Symptome, Diagnosen und Behandlungen. Sie haben möglicherweise Husten, Fieber, Halsschmerzen, .
Intrakranialer Epiduralabszess und Subduralempyem
erneutes oder länger anhaltendes Fieber. Bei Hirnabszessen fehlen Symptome wie Bewußtseinsstörungen oder Hirnnervenparesen häufig, was die Diagnose erschwert. Dabei gelangen Krankheitskeime in den Körper. Je nach Größe des Abszesses kann auch das Sprechen für .Eine sekundäre Vaskulitis wird durch andere Erkrankungen (wie Krebs, Virusinfektion) oder Medikamente ausgelöst. Erbrechen und Übelkeit.Symptome eines Gehirnabszesses. Behandlung: Antibiotikagabe, oft über die Blutbahn, meist Operation mit . Zeitweise unkontrolliertes Zucken der Gliedmaßen kann ein weiterer Hinweis sein – genau wie etwa (plötzliche) Lustlosigkeit an Spiel und Bewegung. Betroffene leiden anfangs meist unter sehr unspezifischen Symptomen.Ein akuter Hirnabszess breitet sich schnell aus, ebenso die Schwellung, die ihn umgibt. operative Eingriffe.Meningitis: Symptome.
Gehirnabszess: Symptome, Ursachen, Diagnose und Behandlung
Die Behandlung erfolgt mit Antibiotika und für gewöhnlich auch mit CT-gesteuerter stereotaktische . Einige der häufigsten Symptome sind: Diffuse Kopfschmerzen. Die Diagnose wird anhand einer Kontrastmittel-MRT oder CT gestellt. Die Diagnose beruht auf Symptomen, wird aber manchmal durch eine .Bevor die Symptome der Enzephalitis anfangen, haben die Betroffenen möglicherweise Symptome des Verdauungstraktes, wie z.Meningitis (Hirnhautentzündung): Symptome, Ursachen & Impfung.Die Symptome können sich innerhalb mehrerer Tage entwickeln. Abnehmende Rede.
Enzephalitis: Entzündung im Gehirn
Reduzierte Empfindung. Spezifische Symptome je nach Vaskulitis-Form, z.
Tuberkulöse Meningitis
Die klinischen Symptome des Hirnabszesses sind oft unspezifisch. Von den überlebenden Patienten gesunden etwa 50 Prozent vollständig ohne bleibende Schäden.

Eine Sepsis (Blutvergiftung) geht in der Regel von einer örtlich umschriebenen bakteriellen Infektion aus.Ein Abszess ist eine Eiteransammlung, lokalisiert in einem Hohlraum des Gewebes.Hauptsymptome – Leitsymptom (ca. Durch die Tumorschwellung haben die . Erreger sind in der Regel Streptokokken, . Die Frühphase (Zerebritis) zeigt sich in der CT häufig als hypodenses Areal mit nur geringer oder teilweiser Kontrastmittelaufnahme.
Wann können Abszesse zu einer Blutvergiftung führen?
Ursache sind meist Bakterien zum Artikel. Wenn beispielsweise die Beine (und nicht die Arme) schwach und taub sind und die Funktion von Darm und Blase beeinträchtigt ist, ist .Hirntumor-Symptome sind sehr vielfältig. Je früher eine Behandlung eingeleitet wird, desto besser sind die Erfolgsaussichten.Die Symptome eines Hirnabszesses beginnen sich allmählich über einen Zeitraum von einigen Wochen zu zeigen und beinhalten: Schwierigkeiten bei der mentalen Verarbeitung.
Abszess: Therapie, Definition, Symptome
Bei bakterieller Gehirnhautentzündung treten fast immer starke Kopfschmerzen auf. Es handelt sich dabei um eitrige Pickel oder Entzündungshöhlen, die häufig unter der Haut . Bei einer Meningitis kommt es zu einer Entzündung der Hirnhäute, die das Gehirn wie eine Schutzhülle umgeben. Überblick über . Kann der Abszess operativ entfernt werden, ist der Verlauf günstig einzuschätzen.Der Hirnabszess ist eine örtliche Infektion des Hirngewebes, bei der sich innerhalb einer Bindegewebskapsel eine Eiteransammlung bildet. Ursache der Eiteransammlung ist eine Entzündung. Das Wichtigste in Kürze: Bei einem Hirninfarkt kommt es zu einer Unterbrechung des Blutflusses in einem hirnversorgenden Blutgefäß.

Kurzübersicht. Krampfanfälle: Häufig kommen Krampfanfälle und neurologische Störungen hinzu, die auf einen intrakraniellen Herd schließen lassen.Breitet sich die Sinusitis ins Gehirn aus, ist meist eine Meningitis die Folge. Die Behandlung erfolgt mittels chirurgischer . Symptome: Sehr vielfältig, unter anderem: Rötung, Schmerzen, Schwellung. Die Symptome eines Gehirnabszesses können sich schnell oder langsam entwickeln; sie äußern sich in der Regel in Form von: Kopfschmerzen – die oft schwerwiegend sind, sich in einem einzigen Abschnitt des Kopfes befinden und nicht mit Schmerzmitteln gelindert werden können. Schwierigkeiten bei der Bewegung.Bei klinischem Verdacht auf einen Hirnabszess ist der wichtigste diagnostische Schritt die kraniale/zerebrale Bildgebung.Die zentrale Nekrose des Abszesses zeigt in T1 . Risikofaktoren. Der Hohlraum ist durch einen Entzündungsprozess entstanden, in dessen Verlauf er von Bindegewebe begrenzt wird und kann überall im Körper auftreten.jeder, der von einer solchen Problematik betroffen ist, kann unter erhöhtem Hirndruck leiden. Dazu zählen beispielsweise hohes Fieber, Kopf- und Gliederschmerzen, Übelkeit und Erbrechen. Ein chronischer Hirnabszess entwickelt sich langsam, häufig kommt es währenddessen zu Krampfanfällen, halbseitigen Lähmungen oder Halbseiten . Epileptische Anfälle.

Sie ist ein sehr typisches . Es gibt verschiedene Ursachen für einen Hirninfarkt.Hirnabszess: Symptome und Verlauf: Langsame Entstehung: Die Entwicklung eines Hirnabszesses dauert Monate bis Jahre.Einer Entzündung der Nasennebenhöhlen (Sinusitis) liegt gewöhnlich eine Allergie, eine virale oder bakterielle Infektion zugrunde. Funktionseinschränkung des Bereichs. Kopfschmerzen, Übelkeit, Erbrechen, Gefühlsstörungen oder Krampfanfälle sind häufig die ersten Anzeichen. Da dies Symptome vieler Krankheiten sein können, kann es zunächst schwierig sein, einen Hirnabszess zu erkennen.
Medizinwissen, auf das man sich verlassen kann
Die Symptome werden durch eine Kombination aus Infektion, Hirngewebeschädigung und Druck auf das Gehirn verursacht, da der Abszess wächst und mehr Platz einnimmt. Da eine Unterscheidung zwischen Abszess und hirneigenem Tumor oder Metastasen mittels kranialer Computertomografie meist nicht möglich ist, wird bei Verdacht auf einen Hirnabszess . Parasiteninfektionen des Gehirns. Abszesse gehören zu den Leiden, die als äußerst unangenehm empfunden werden. Die Symptome eines Hirninfarkts treten sehr plötzlich auf und können sehr . Ein Hirnabszess ist höchstwahrscheinlich auf eine bakterielle oder Pilzinfektion in einem Teil des Gehirns zurückzuführen.

Behandlung (Auszug) Herstellung und Erhalt der lebenswichtigen Funktionen.

Im Abszessbereich ist die Haut anfangs meist geschwollen, gerötet, erwärmt, gespannt und druckempfindlich. schlechtes Allgemeinbefinden.AMBOSS provides reliable medical knowledge for various topics, including brain abscess, a serious condition that requires prompt diagnosis and treatment. Bei etwa 25 Prozent der Betroffenen treten weiterhin epileptische Krampfanfälle auf.Beschreibung: Abgekapselte Eiteransammlung im Gewebe.Die typischen Symptome der Mittelohrentzündung verstärken sich dann oder kehren – nach anfänglicher Besserung – wieder zurück. Weltweit infizieren sich pro Jahr zehn Millionen Menschen mit Bandwürmern. Im Allgemeinen treten am Beginn einer Meningitis Symptome auf, die denen einer Grippe ähneln.
Neuroborreliose
MedizInfo®: Hirnabszess: Symptome und Verlauf
Die Liste der Anzeichen für einen Hirntumor bei Katzen ist lang.Meistens entwickeln sich Abszesse nach Entzündungen und Verletzungen der Haut, z. Bei einem Großteil der Betroffenen kommt es zu Entzündungen der Hirnhaut und der Nervenwurzeln.Die Symptome eines Hirntumors können je nach Größe, Art und Lage des Tumors im Gehirn variieren.Ein intrazerebraler Abszess zeigt nur wenig spezifische Symptome, die sich meist innerhalb von Tagen bis wenigen Wochen entwickeln. In der zweiten Woche tritt in 70% der Fälle ein meningeales Syndrom mit Kopfschmerz, Nackensteifigkeit und Erbrechen auf. Durch die basale .
Kurzinformationen: Hirnabszess
Aufgrund der möglichen Komplikationen, die auftreten können, sollten Patienten mit Symptomen, die auf einen Hirnabszess hindeuten, so schnell wie möglich eine Notaufnahme aufsuchen, um eine spezialisierte Untersuchung durchführen zu lassen.Fieber entwickelt sich bei der akuten tuberkulösen Meningitis im Verlauf einer Woche. Im weiteren Verlauf gesellt sich eine schmerzhafte Nackensteifigkeit (Meningismus) hinzu. CT oder MRT mit und ohne Kontrastmittel sind die diagnostischen Methoden der Wahl.Die häufigsten Symptome sind Kopfschmerzen und Fieber, bei manchen Menschen kann es auch zu Übelkeit und/oder Erbrechen kommen. Meningitis oder ein Hirnabszess können sich entwickeln. Der Hirnabszess ist eine Form der eitrigen Reaktion mit Gewebseinschmelzung und Kapselbildung, die in der Mehrzahl der Fälle hämatogen-metastatisch oder fortgeleitet, am häufigsten bei Otitis, Sinusitis und Mastoiditis, entsteht. Diagnostik: Untersuchung der betroffenen Körperregion; bei Bedarf . Unspezifische Krankheitsanzeichen wie Bauchschmerzen, Übelkeit, Missempfindungen und Veränderungen des Stuhlverhaltens treten bei einem Drittel der Patienten auf. Bildet sich ein Abszess in der Haut, macht sich dies durch eine gerötete und schmerzhafte . Symptome (Auszug) Kopfschmerzen. 80%) ist der Kopfschmerz, dieser ist oft das einzige Symptom. Häufig zu finden sind Kopfschmerzen, Anfälle, Erbrechen und Übelkeit. Geht ein Abszess mit einer Entzündung einher, kann man folgende Symptome feststellen: Rötung. Gehirnentzündung (Enzephalitis) Intrakranieller epiduraler Abszess und subdurales Empyem. Symptome können beinhalten Kopfschmerzen, Lethargie, Fieber und fokale neurologische Defizite. Sie entsteht, wenn Krankheitserreger in den Körper eindringen.Unter einem Abszess versteht man eine Eiteransammlung in einem Hohlraum. medikamentöse Therapie. Nur 10 % der Hirnabszesse werden durch offene Schädel-Hirn-Traumen oder . Diese Eiteransammlung liegt meistens unter der harten Hirnhaut, der Dura mater (subdural), sie kann aber auch oberhalb der harten Hirnhaut lokalisiert sein (epidural). Nur 40–50% der Patienten zeigen erhöhte Temperaturen, die bei Abszessen in anderen Körperregionen ein führendes Symptom sein können [1, 2]. Die Diagnose wird mithilfe einer Kontrastmittel-MRT, oder falls nicht verfügbar, einer Kontrastmittel-CT gestellt.Die Symptome bei Subduralempyem sind Fieber, Erbrechen, Bewusstseinsstörungen und schnelle Entwicklung von neurologischen Anzeichen einer weitausgedehnten Beteiligung einer Hirnhemisphäre. In zwei Dritteln der Fälle bleiben die Symptome bis zu zwei Wochen bestehen, bevor die . Ein Hirnabszess ist eine intrakranielle Eiteransammlung. Die Sterblichkeit liegt bei 5 bis 15 Prozent der Betroffenen. Bei den unterschiedlichen Formen der Gehirnhautentzündung (Meningitis) sind die Symptome und Beschwerden in ihrer Entwicklung und Ausprägung verschieden.Neben Symptomen, die durch die bakterielle Infektion erklärt werden können, wie ein geschwächter Allgemeinzustand und Fieber , kann bei einem Abszess im Bereich der Mandeln auch Schluckbeschwerden sowie eine sichtbare Rötung im Rachenbereich auftreten.
Meningitis (Hirnhautentzündung): Symptome, Ursachen
Zu solchen Infektionen gehören Abszesse. Msd Manual Please confirm that you are not located inside the Russian Federation
Hirnabszess: Alles was Sie wissen müssen
Nicht alle Wirte erleben bei Bandwurmbefall Beschwerden. Bewusstseinsstörungen und Hirndruckzeichen können ebenfalls im weiteren Verlauf hinzukommen.Ein Hirnabszess liegt vor, wenn es zu einer lokalen Entzündung von Hirngewebe kommt, die zu einer mit Eiter gefüllten Kapsel führt. Schwierigkeiten beim Denken, Sprechen oder Finden von Wörtern.Symptome Notfälle Ressourcen Neuheiten u. Welche Symptome sprechen . Der Eiter bleibt als Relikt der Abwehrschlacht gegen diese Krankheitserreger zurück. Daher treten Symptome wie Kopfschmerzen, Nackensteifigkeit und Trübungen des Bewusstseins sofort auf.Wichtige Punkte.
MedizInfo®: Hirnabszess: Entstehung und Ursachen
Hirntumor Symptome: Erkennen, Diagnostizieren und Behandeln
Andere Symptome. Bei Ödembildung oder Einblutungen im Gehirn kann es zu epileptischen Anfällen, Lähmungen und Gefühlsstörungen sowie Einschränkungen des Gesichtsfelds, Sprachstörungen und Bewusstseinsstörungen kommen. Verringerte Reaktionsfähigkeit. Ursachen sind in der Regel Virusinfektionen, jedoch gibt es auch eine bakterielle Form, die lebensgefährlich verlaufen kann.
- High Sierra Koffer Trolley | Nach Marken
- Highland Funerals Readings | 7 Inspiring Less Traditional Funeral Readings
- Hippodrom 2024 Programm , Disney’s The Lion King
- Hilti 2 Komponenten Mörtel : Chemische Dübel
- Hitzesommer Warnung , Thailand kämpft mit extremer Hitze: Infos für Urlauber
- Histoire De Lyon Histoire _ Lyon: Histoire du quartier de Confluence
- Hip Spica Bandage , Hip Spica AL Hüftbandage
- Hisinone Passau – Das Campusportal der Universität Passau
- Historie Aller Trainer Bayern München
- Historia Del Gato Resumen : Gato doméstico: característica e historia
- Hinterkopf Stirn Muskel _ Kopfschmerzen an der Stirn
- Histaminintoleranz Selbsttest _ Diagnose: Ein Test verschafft Klarheit
- Hindutva Überlegungen _ Überlegung
- Hip Hop Beats Kostenlos , KISS FM
- Historiker Lohn – Jobs für Historiker