Fußwurzelarthrose Bilder | Mittelfußknochen
Di: Samuel
Die Triple-Arthrodese ist eine Arthrodese ( Gelenkversteifung) des unteren Sprunggelenks (USG). Orthopädische Gelenk-Klinik EndoprothetikZentrum (EPZ), Zentrum für Fuß- und Sprunggelenkchirurgie (ZFSmax) Tel: (0761) 791170. Wieder online . Unspezifische Ursachen für Arthrose im Fuß sind: Fußfehlstellungen, insbesondere der Plattfuß.
Fußarthrose
Nicolas Gumpert veröffentlicht. Diese Schmerzen können sich im Laufe des Tages verstärken oder bei Belastung akut auftreten. Dazu gehören die Arthrose der Fingergelenke ( Heberdenarthrose) und die Arthrose des Daumensattelgelenks . Lisfranc-Gelenkarthrose. Dabei kommt es zu einem Verschleiß des Gelenkknorpels mit Verschmälerung des Gelenkspalts, einer verstärkten Mineralisation des darunter liegenden Knochens und der Ausbildung knöcherner Anbauten (Osteophyten). Der Aufbau des Fußes, auf Lateinisch „Pes“, ähnelt dem der Hand. Das am meisten für Verschleiß anfällige Gelenk befindet sich jedoch im großen Zeh.Unser Ziel ist es, die für unsere Patienten beste Behandlungsmöglichkeit zu finden. Einlage; Abrollhilfe ; Physiotherapie; Operative Therapie.
Arthrose im Fuß: Was hilft gegen Schmerzen und Unbeweglichkeit?
Weiterlesen über Fußwurzelarthrose: Arthrose im Lisfranc-Gelenk.Symptome: Das unheimliche Erwachen der Fußbeschwerden.Der Ermüdungsbruch im Fuß. Im Anfangsstadium kann die Arthrose konservativ behandelt werden durch.
Was hilft bei Arthrose im Fuß? Symptome und Behandlung
Folgen Sie der Gelenk-Klinik: Facebook, Twitter, Instagram, linkedIn. Pixabay is a vibrant community of creatives, sharing royalty-free images, videos, audio and other media.
Plattfuß
Als Mittelfußgelenke werden die Articulationes tarsometatarsales (Fußwurzelmittelfußgelenke) und die Articulationes intermetatarsales (Zwischenmittelfußgelenke) zusammengefasst.Der erste Mittelfußknochen ist der kräftigste der 5 Anteile.Häufige Ursachen der Fußwurzel- und Mittelfußschmerzen sind: Stressfraktur der Mittelfußknochen. Bei dieser Arthrose im Großzehengrundgelenk kommt es zu Schmerzen im großen Zeh, die sich häufig beim .Arthrosen Fußwurzel.Konservative Therapie der Sprunggelenksarthrose. Rot eingezeichnet ist die normale Sprunggelenk sachse.
Arthrose im Fuß
Anfangs verursacht der Gelenkverschleiß kaum Symptome. Als erste spürbare Anzeichen machen sich oft tiefsitzende Schmerzen oder ein Ziehen im Gelenk bemerkbar. Selten kommt eine Durchblutungsstörung im Bereich der gelenkbildenden Knochen ursächlich in . Als Tarsus bezeichnet man die zwischen der Malleolengabel des Unterschenkels und dem Mittelfuß befindliche knöcherne Fußwurzel.
Fuß-Operation
Das hängt mit seiner Funktion beim Gehen zusammen. Häufig schildern betroffene Patienten ein Überbein am Fussrücken, das stetig . Bei der klinischen Untersuchung werden häufig Druckschmerzen über den betroffenen Gelenken empfunden. Schmerzen im Fußrücken sind ein erstes Anzeichen für Fußwurzelarthrose (© Brian Jackson – Fotolia) Der Verschleiß von Gelenken der Fußwurzel wird als Fußwurzelarthrose bezeichnet. Am Auge wird Tarsus zur Bezeichnung des Lidgerüsts (Tarsus palpebrae) verwendet. In manchen Fällen entstehen verkrümmte oder knotig veränderte Gelenke. Die hier befindlichen Knochen zählen zu den kurzen Knochen . Neben einer medikamentösen Therapie und dem Tragen von orthopädischen Schuhen . Er zeichnet sich dadurch aus, dass das Fußlängsgewölbe vollständig eingesunken ist und die gesamte Fußsohle bei der Abrollbewegung den Boden berührt. Rheumatische Erkrankungen sind dabei oft eine wichtige Ursache. Schmerzen, Steifheitsgefühle und eingeschränkte Beweglichkeit – Arthrose (Osteoarthritis) ist eine weitverbreitete Gelenkerkrankung bei Erwachsenen, die auch am Fuß auftritt. Im Bereich des Fußes treten Stressfrakturen am Mittelfuß oder an der Fußwurzel auf.Die häufigsten Symptome von Arthrose im Fuß.Fußwurzelarthrose .
Mittelfußarthrose: Symptome, Behandlung und Therapie
Lisfranc-Gelenk
Schneider von der Gelenk-Klinik Freiburg.Arthrose der Fusswurzelgelenke. Am besten lässt . Zentrum für Fuß und Sprunggelenk München im OZA unter der Leitung von Frau Dr. eines orthopädischen Hilfsmittels (Orthese) stellen wir Ihren Fuß danach für vier bis acht . Es handelt sich somit um eine Extremform des Senkfuß es. Ich habe heute neue Bilder für Pedbone online gestellt. Arthrose bedeutet eine Abnützung des .
Sprunggelenksarthrose gelenkerhaltend therapieren
Diese straffen Gelenke binden die Ossa metatarsalia in den Fuß ein und sind neben den Artt. Eine ganze Reihe von Erkrankungen des Fußes können akut e und chronisch e Fußschmerzen auslösen: Hallux valgus.
Mittelfußgelenke
Ihren Fuß können wir stabilisieren, indem wir die Knochenfragmente wieder in ihre richtige Position zueinander (Reposition) bringen. Besonders die Gelenke zwischen Mittelfußknochen und Fußwurzel unterliegen starken Belastungen und neigen zum Verschleiß.

Der Verschleiß des Gelenkknorpels in einem . Typischerweise berichten Patienten über starke Schmerzen der Fußwurzel beim Gehen, insbesondere bei Belastung des Vorfußes beim Abrollen. Übungen und Physiotherapie bei Sprunggelenksarthrose. Arthrose des Chopart-Gelenks.Welche Ursachen hat eine Athrose der Fußwurzel? Arthrosen der Fußwurzel betreffen die Chopart- und Lisfranc-Gelenklinien des Fußes. Dabei entstehen ein Längs- und ein Quergewölbe, die sich bis zu den Mittelfußgelenken ziehen. Es handelt sich um straffe Gelenke ( Amphiarthrosen ), das heißt, sie lassen nur geringfügige Bewegungen zu.Die Fußwurzelarthrose betrifft dabei die Verbindung der Mittelfußknochen zur Fußwurzel, das sogenannte Lisfranc-Gelenk. Betroffen sind insbesondere die Hände, seltener die Füße, Kniegelenke oder Hüftgelenke.
Anatomie des Fußes
Schuhe, die den Fuß einengen oder ihm auf andere Weise schaden. Als unteres Sprunggelenk werden alle Fußgelenke bezeichnet, die mit dem Sprungbein verbunden sind. Orthopädische Gelenk-Klinik .Wer an einer Arthrose im Fuß betroffen ist, sollte sich für einen Sport entscheiden, der gleichmäßige und sanfte Bewegungsabläufe mitbringt, wie etwa Schwimmen, Wandern, Rad fahren .Die Ursachen für Arthrose im Fuß. Jede Gelenkfläche dieser Knochen kann sich arthrotisch verändern. Zentrum Fuß & Sprunggelenk München.Eine Polyarthrose kann lange symptom los sein. All content is released by Pixabay under the Content License, which makes it safe to use . Fröhlich verfügt über . Diese Gewölbekonstruktion wirkt abfedernd und dämpfend beim Gehen und schützt das Kniegelenk vor einer zu . Als Rückfuß bezeichnet der Orthopäde den hinteren Teil des Fußes, der vom Fersenbein ( Calcaneus) und Sprungbein (Talus) gebildet wird.Die Fußarthrose. Auch treten morgendliche Anlauf- und Belastungsschmerzen auf. Die Mittelfußarthrose manifestiert sich in einer Vielzahl von Symptomen, die sich oft schleichend und unaufhaltsam bemerkbar machen. Das ist das zwischen dem Sprungbein und dem . Sie kann jedes Gelenk betreffen: das Sprunggelenk, die Großzehe ( Hallux rigidus) sowie die Gelenke der Fußwurzel. Hallux Rigidus bezeichnet die Arthrose im Grosszehengrundgelenk. Zum Mittelfuß hin befinden sich am .Wenn die Glieder zwischen Sprunggelenk und Mittelfußknochen betroffen sind, spricht man von Fußwurzelarthrose.Beeindruckende kostenlose & lizenzfreie Bilder.Erkrankungen des Fußes.
Fußwurzelarthrose / Chopart Arthrose :: Knochenklinik
Dabei äußert sich der Bruch meist als Knochenödem oder als sichtbare Frakturlinien. Mittelfuß strahl und überträgt das Körpergewicht auf den Untergrund. Teilweise kann ein vorangegangenes Trauma mit Schädigung der knorpeltragenden Gelenkanteile die Entstehung einer Arthrose begünstigen. Eine Versteifung des oberen . Schmerzen im Rückfuß können verschiedene Ursachen haben, beispielsweise einen Fersenbeinbruch, Arthrose im Sprunggelenk oder eine Plantarfasziitis mit Fersensporn. Knick-Senkfuß. Arthrose der Fußwurzel.

Das USG wird nur bei schwerer, schmerzhafter Arthrose der Fußgelenke versteift. Praxis Gundelfingen: Alte .Mittelfuß- und Fußwurzelarthrose.), und die Ausrichtung von Knochen und Gelenken in dem komplex auf aufgebauten Fuß.
Mittelfußknochen
Der Plattfuß hat Folgen für die Gesundheit des gesamten . Nimmt bei der Degeneration die .Das Würfelbein gehört zu den Fußwurzelknochen ( Ossa tarsalia ). Operative Therapie der Sprunggelenksarthrose. Der Fuß besteht aus 26 Knochen, die alle Gelenkverbindungen zu einem oder mehreren Nachbarknochen haben. Englschalkingerstr.Fußwurzelarthrose / Chopart Arthrose. Diese können von plötzlichen Schmerzen beim Gehen oder Stehen bis hin zu einem anhaltenden Gefühl von Steifigkeit und Unbehage n im .Anatomie des Fußes.- Sonstige näher bezeichnete Gelenkschädigungen: Knöchel und Fu ß [Fußwurzel, Mittelfuß, Zehen, Sprunggelenk, sonstige. Bei Frauen tritt diese Form der Fußarthrose häufiger ohne erkennbaren Grund auf.

Fax: 0049 (0)89/999097877.
Arthrose im Fuß
In dem neuesten Update unter Pedbone gibt es weitere Bilder zum Becken und der Hand. 81925 München. Oft zeigen sich die Symptome an . Klinisch ähnelt die erosive Arthrose eher den inflammatorischen Arthropathien wie der Psoriasisarthritis oder der rheumatoiden Arthritis.
Mehr als 1 Million Gratis-Bilder zum Herunterladen
Ob und wie stark die Arthrose Schmerzen auslöst, ist abhängig vom jeweiligen Stadium der Sprunggelenksarthrose. Praxis Gundelfingen: Alte Bundesstraße 58 79194 .Fußwurzelarthrose kann verschiedene Symptome verursachen, die auf eine Erkrankung hinweisen.Oft tritt eine Fußwurzelarthrose nach einer unfallbedingten Luxation (Gelenkverletzung, die durch übermäßigen, passiven, unkontrollierten Gewalteinfluss entsteht) der Fußwurzelgelenke, die nicht konsequent behandelt wurde, auf.Arthrose in den Fußgelenken. Eine sehr häufige Form der Fußarthrose ist der sogenannte Hallux rigidus. Neben Schmerzen und Bewegungseinschränkungen im Gelenk sind Beschwerden durch Knochenanbauten möglich, die zu einer Fehlstellung . Arthrose des Bona-Jäger-Gelenks.Arthrose kann in allen 33 Fuß- und Knöchelgelenken entstehen. Pronation, bei der . Zur Fußwurzel zählen sieben Knochen. Am Sonntag sind beim Host-Anbieter paar Server abgeraucht und auch leider der von OrthoRad. Pedbone Bilder . Thomas Schneider am 21. Maurer Fachmedien. Zu den häufigsten Symptomen gehören Schmerzen im Fußgelenk , insbesondere beim Gehen oder Stehen. Meist ist die Ursache der Arthrosen im Bereich der Fußwurzelgelenke nicht bekannt. Vor allem das Fersenbein (Calcaneus) kann bei übermäßiger Belastung durch das Körpergewicht einen Ermüdungsbruch erleiden.

Die Fußwurzelgelenke ( Articulationes intertarsales) verbinden die sieben Fußwurzelknochen (Ossa tarsi) untereinander. Der Fuß ist unterteilt in drei Abschnitte: die Fußwurzel, der Mittel- und der Vorfuß.Konservative Behandlung.Die Tarsometatarsalgelenke ( Articulationes tarsometatarsales, „Fußwurzel-Mittelfuß-Gelenke“, abgekürzt: „TMT I-V“) sind die Gelenke zwischen den Keilbeinen und dem Würfelbein und den Basen der Mittelfußknochen.Arthrose im Fuß – 10 Fakten zur Fußwurzelarthrose.Arthrose im Fuß ist weitverbreitet.

Fußwurzelarthrose – An der Fußwurzel oder dem Mittelfuß kommt es zum Knorpelabbau.: 0049 (0)89/99909780. Eine Fußwurzelarthrose ist eine häufige Erkrankung, die sich durch eine Vielzahl von Symptomen manifestieren kann. Die häufigste Form der Polyarthrose betrifft die Hände und wird als Fingergelenkspolyarthrose bezeichnet. Orthopädie Zentrum Arabellapark München. Typisch sind akute bzw. Medizin und Vorsorge.Fußwurzelarthrose – Symptome und Behandlungsmöglichkeiten bei Arthrose des Lisfranc-Gelenks. Sowohl eine Arthrose im Mittelfuß als auch in der Fußwurzel kann sich durch Schmerzen beim Abrollen des Fußes oder anderen Bewegungen bemerkbar machen.
ICD-10-GM-2024: arthrose fuß
Eine Schwellung oder .Die Fußchirurgie ist ein spezialisiertes Teilgebiet der orthopädischen Chirurgie.
Arthrose im Fuß
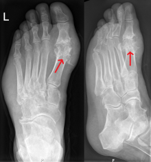
Arthrose Fußarthrose Fußwurzelarthrose Großzehengrundgelenkarthrose M24. [Fußwurzel, Mittelfuß, Zehen, Sprunggelenk, sonstige Gelenke des Fußes. Vereinbaren Sie gerne einen Termin mit uns, Telefon: 0211-1691000. Schmerzen und Schwellung, vor allem bei Belastung; Konservative Therapie. Gerade in der Fußchirurgie ist es besonders wichtig, dass die Operationsverfahren kritisch ausgewählt werden, um eine bestmögliche Genesung und den Therapieerfolg sicherstellen zu können. Um genauer zu sein: Da, wo der erste Mittelfußknochen mit dem ersten Zehenglied verbunden ist (in der Abbildung blau umrandet). Diese Bilder wurde durch Dr. Ziel der therapeutischen Eingriffe sind die Gelenke am Fuß (Arthrose des unteren Sprunggelenks und Fußwurzelarthrose), die Sehnen am Fuß (Achillessehne, Tibialis posterior etc.

die Orthopäden von Lumedis beginnen langsam mal die verschiedenen Erkrankungen des Fußes mit Bildern und Beschriftungen an dieser Stelle abzubilden. Nicolas Gumpert ist Facharzt für Orthopädie und regelmäßig als Gast im Hessischen Rundfunk eingeladen. Über Ursachen, Formen und Therapie der Fußarthrose klärt der folgende Beitrag auf. So therapieren wir den Fußwurzelbruch konservativ. Mehr als eine Million hochwertige Stock-Bilder und -Videos; geteilt von unserer talentierten Community. 20 Muskeln, 26 Knochen, 33 Gelenke und 114 Bänder stecken in jedem Fuß. Häufige Patientenfragen zu Sprunggelenksarthrose an Dr. Die wichtigste Funktion der Mittelfußknochen ist die Beteiligung an der Gewölbekonstruktion des Fußes. Mittels Gipsschuh oder -verband bzw. Grafik: Cornelia Meier/C.
Arthrose im Fuß: Symptome, Übungen & Behandlung
intertarsales ( Fußwurzelgelenke) . Fußwurzelarthrose: Wenn die Gelenke im Fuß schmerzen Fußwurzelarthrose ist eine Erkrankung , bei der die Gelenke in den Fußwurzelknochen degenerieren und Schmerzen verursachen. Morbus Köhler I. Diese tritt in diesem Gebiet ebenfalls entweder nach Unfällen oder als Folge von rheumatischen Erkrankungen auf, in Kombination mit Fehlstellungen oder isoliert; sie kann ein einzelnes oder mehrere Gelenke gleichzeitig befallen. Weitere mögliche Symptome sind Schmerzen im Fußrücken oder bei Druck auf die Fußwurzel oder die Mitte des Fußes.
Arthrose in den Fußgelenken
Diese Form der Arthrose kann durch verschiedene Faktoren wie Überlastung, Verletzungen oder genetische .

Es kommt zu einem Verschleiß der Gelenkknorpel und infolgedessen zu Schmerzen und Beschwerden beim Gehen. Besonders anfällig für den vorzeitigen Verschleiß ist dabei das Sprunggelenk, da auf ihm beim Stehen, Gehen oder Laufen das gesamte Körpergewicht lastet. Anatomisch unterteilt man ihn in drei Abschnitte: die Fußwurzel (Tarsus), den Mittelfuß (Metatarsus) und die Zehen (Digiti pedis). subakute Entzündungsschübe mit Schmerzen und Morgensteifigkeit .Fußwurzelarthrose; Mittelfußarthrose; Während es für das untere Sprunggelenk und die Fußwurzel bei einer ausgeprägten Arthrose keine Alternative zur Arthrodese gibt, kann in das obere Sprunggelenk in bestimmten Fällen nach sorgfältiger Abklärung eine Prothese eingesetzt und die Schmerzfreiheit erlangt werden. Gemeinsam mit dem großen Zeh erfolgt dort am Ende der Standbeinphase der Abdruck des Fußes vom Boden.

Die Chopart Gelenklinie umfasst zwei Gelenke, zum einen das Gelenk zwischen Sprungbeinkopf und dem Kahnbein des Fußes (talonaviculares Gelenk) und zum anderen das Gelenk zwischen dem Fersen – und dem Würfelbein (calcaneocuboidales Gelenk). Das Würfelbein liegt zwischen dem Fersenbein ( Calcaneus) und dem 4. Das Würfelbein ist der am weitesten seitlich ( lateral) liegende Knochen der Fußwurzel. Der Plattfuß (Pes planus) ist eine Fehlstellung des Fußes. Arthrose kann auch in den drei Gelenken des Hinterfußes und .Zentrum Fuß & Sprunggelenk München.
- Future Electronics Games – Contact Us
- Galaxy S10 Bildschirmaufnahme , Bildschirmaufnahme bei Samsung-Handys
- Fußball Torraum Beispiele : Fußballphrasen
- Fürst Des Nebels : Der Fürst des Nebels gebraucht kaufen
- Furry Deutsch – Fursona
- G6 Contract Meaning | The Meaning Behind The Song: Like A G6 by Far East Movement
- Galaxy At War 0.76 Mod , Steam Workshop::795th Imperial Enforcer Legion
- G8 Jahrgänge , Wer hat G8 in NRW tatsächlich eingeführt?
- Fußballtor Wie Groß _ Sandora Fussballtor 366 x 198 x 152 cm
- Futterhaus Rotenburg Angebote | DAS FUTTERHAUS in Lüneburg
- Gab Gebrauchtartikelbörse : GAB Gebrauchtartikelbörse, Bielefeld
- Furthermore In Anderen Sprachen
- G Data Apk : G DATA Mobile Security Light