Fluorose Definition , Angst vor Fluorose überwinden
Di: Samuel
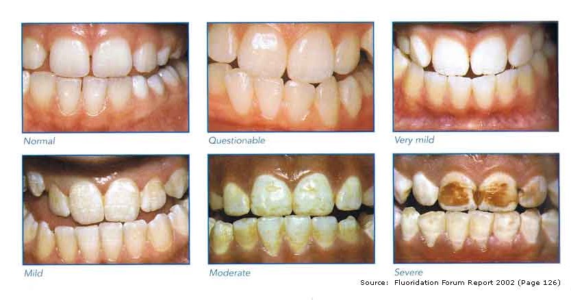
Fluoride consumed during tooth development can also result in a range of visible changes to the enamel surface of the tooth. Behandlung durch Mikroabrasion, Zahnaufhellung oder Veneers. Kreideweiße Zähne mit braunen Streifen sind .Wir stellen ganzheitliche Massnahmen vor, die zur Prävention von Kreidezähnen zum Einsatz kommen können, aber auch Massnahmen, die sich zur Therapie eignen. Fluorose sévère: Toute la surface de toutes les dents est touchée avec présence de taches brunes, un effritement des dents est possible. Auch können Korosionen vorhanden sein.The proper amount of fluoride helps prevent and control tooth decay in children and adults. Mir dem Begriff Fluorose bezeichnet man Krankheitsbilder, die durch eine übermäßige Zufuhr von Fluoriden entstehen.The severity of the condition is dependent on .English Translation of “FLUO” | The official Collins French-English Dictionary online. Se manifestant par l’apparition de taches blanches ou jaunes et de zones poreuses à la surface de la dent, elle peut être légère, grave ou modérée. Fluorid ist eine Art der chemischen Komponente Fluor.Was Fluoride bewirken. Dieses ist in vielen herkömmlichen Zahncremes enthalten.Doch erst 2001 wurde eine klare Definition festgelegt, die besagt, dass die MIH ein „systemisch bedingten qualitativer Schmelzdefekt ist, der mindestens einen ersten bleibenden Molaren und optional die bleibenden Inzisiven betrifft“.

Of vitamin neon buttons complement your style with a fashion touch. Keep a neon-colored ve . Die Behandlung dauert ca. Das erhöhte Fluoridangebot hat eine Störung der Ameloblastentätigkeit während der Schmelzreifung zur Folge.
English translation of ‚fluo‘
Eine Fluorose entsteht, wenn Zähne – besonders bei Kindern – mit zu viel Fluorid in Kontakt kommen. In der Zwischenzeit hat sich bestätigt, dass leichte bis mittlere Fluorosen ähnlich erfolgreich wie kariöse Läsionen behandelt werden können.Das bedeutet, dass Fluoride sowohl dann Ihre Zähne schützen, wenn sie täglich in kleinen Mengen aufgenommen werden wie auch dann, wenn sie direkt auf die Zähne aufgebracht werden.Fluoroseflecken auf den Zähnen behandeln. Das Ergebnis überzeugt.FLUO- definition: → fluoro- | Meaning, pronunciation, translations and examplesEs ist allgemein bekannt und nachgewiesen, dass Fluorid vorbeugend gegen Karies ist. Die Bildung von Zahnschmelz, der Zähne vor Karies schützt, wird dann gestört. Typisch für MIH sind weißlich-gelbe bis gelb-braune, deutlich umschriebene Opazitäten im Zahnschmelz an . Fluorosis is a cosmetic concern and isn’t harmful to your health.ICON® — Die Wunderwaffe gegen kleine Zahnlöcher und weiße Flecken auf den Zähnen. Dieses Ungleichgewicht entsteht meistens in der frühen Kindheit, wenn der Körper zu viel Fluorid aufnimmt. Infolgedessen wird der Zahnschmelz porös und das empfindliche Zahnbein darunter wird den Bakterien . Eines der wichtigsten Mittel, um Zahnschmelz zu reparieren und Zähnen dabei zu helfen, zu regenerieren, ist Fluorid. Wörterbuch der deutschen Sprache.Kreidezähne (MIH) beim Kind: Ursache, Behandlung und vorbeugende Maßnahmen.Das Icon Prinzip: Luft- und Wassereinschlüsse im porösen Zahnschmelz haben einen geringeren Lichtbrechungsindex als intakte Zahnsubstanz. Die Infiltration mit Icon Vestibular gleicht diesen Unterschied aus, das Erscheinungsbild passt sich dem gesunden Zahnschmelz an.
Angst vor Fluorose überwinden
Entscheidend ist allerdings die Dosierung.Wenn sich plötzlich weisse Flecken auf den Zähnen deines Kindes oder Babys breit machen, kann das eine Fluorose sein.Das ist vollkommen schmerzfrei. Wird zu viel Fluorid zugeführt .
Fluoridierung: Zähne, Kinder & Definition
Die Behandlung mit Fluor gehörte insbesondere vor der Einführung der Diphosphonate zum pharmakologischen Repertoire bei der Therapie der manifesten Osteoporose.Fluorose – kurze Definition. We also share information about the use of the site with our social media, advertising and analytics partners.
Fluorose: Bedeutung, Definition Wortbedeutung
akute Fluorose: mit plötzlicher Übelkeit, Erbrechen, Durchfall.Leitmerkmale: kreidig-weiße Zähne, Knochenwucherungen.Die Farbskala reicht von leicht gelblich bis bräunlich.Fluorose (Deutsch) Wortart: Substantiv, weiblich Bedeutung/Definition Medizin: körperliche Schädigung durch Aufnahme einer zu großen Menge an Fluor oder Fluorverbindungen Artikel/Genus Das grammatikalische Geschlecht ist feminin, es heißt also die Fluorose.
Fluorose: Definition, Ursachen, Symptome und Prävention
Elle peut entraîner une raideur des articulations et . Alles in Kürze über die weißen oder braunen Flecken auf den Zähnen.
La fluorose : symptômes, causes et traitements
Zur Maskierung von Fluorosen durch Infiltration mit Icon® gab es bereits bei Einführung der Technik 2009 positive Berichte [Paris und Meyer-Lückel, 2009]. Mundspülungen oder Zungenreiniger verleihen Ihnen zudem einen frischen Atem.Fluorose als übermäßige Fluoridzufuhr über längeren Zeitraum. Educalingo Cookies werden verwendet, um Anzeigen zu personalisieren und zu Web-Traffic-Statistiken. 1 Stunde, in Abhängigkeit von der Tiefe der Schmelzveränderungen. Er wird porös und das darunter liegende empfindliche Zahnbein ist Bakterien ungeschützt ausgeliefert. Eine andere Ursache für fleckige Zähne ist die Dentalfluorose. Zusammenfassend kann man sagen, dass die Fluoridierung bei Kindern ein entscheidender Schritt zur Prävention von Karies und zur Förderung einer guten Mundgesundheit ist. Fluoride können auf unterschiedliche Weise in den Zahnschmelz gelangen.«Fluorose» Eine Fluorose entsteht durch zu hohe Fluoridzufuhr. Des touches fluo vitaminées complètent votre style avec une touche fashion.Fluorosis is a condition that results in white or brown speckles on your teeth.Fluorose modérée: Toute la surface des dents est touchée, avec une usure marquée des surfaces en contact, des taches brunes sont parfois présentes.

Zusätzlich gibt es Spezialprodukte wie Fluoridgels oder Fluoridtabellen. Die Zähne können weiße Flecken bekommen und sich verfärben.Synonyms for fluorose and translation of fluorose to 25 languages.
MIH und Differenzialdiagnosen
Over 100,000 English translations of French words and phrases. Fluoride works both while the teeth are developing and every day after the teeth have emerged through the gums. Entweder äußerlich (=lokal) durch Zahnpasten, Gele oder Mundwasser, oder innerlich . Sehen Sie sich dazu hier das kurze Erklär-Video an. Europarl8 Überdosierung in den ersten Lebensjahren, bevor die bleibenden Zähne entwickelt sind, kann zu dentaler Fluorose , einer stellenweisen Verfärbung und Schwächung der Hartsubstanz der Zähne, führen.Zusätzlich sollten Sie Zahnseide oder Mundduschen verwenden, um Ihre Zahnzwischenräume gründlich zu reinigen.

Durch lang anhaltende, unkontrollierte Behandlung mit Fluorid ausgelöstes Krankheitsbild mit Gelenk- und Knochenschmerzen.
Fluorose
Vorteil: Die Zeit für Bakterien, die Schwachstellen im Schmelz zu nutzen, wird kürzer und das Risiko Karies .
Fluoridierung der Zähne
[1] Dental fluorosis is a common condition affecting both primary and secondary dentitions; however, the effects on .


Oftmals empfiehlt sich, wie bei inaktiven . Blieb die Behandlung per Kariesinfiltration bislang vor allem auf kariesbedingte Veränderungen in proximalen Bereichen und glatte Oberflächen beschränkt, so lassen sich heute auch Fluoroseflecken damit in den Griff bekommen.Definition, Bedeutung.Nichtsdestotrotz ist es wichtig, übermäßigen Fluoridkonsum zu vermeiden, da dies zu Fluorose, einer Verfärbung oder Strukturveränderung des Zahnschmelzes, führen kann. 1 Differenzialdiagnose von MIH, Karies und Fluorose, Amelogenesis Imperfecta, einer Schmelzveränderung am permanenten Nachfolger durch ein Frontzahntrauma im Milchgebiss oder eine apikale Milchzahnparodontitis (Turner-Zahn). betrifft hauptsächlich Kinder unter dem achten Lebensjahr, seltener Jugendliche und Erwachsene.

Fluoride können gleich auf mehrere Weise zum Schutz der Zähne beitragen: Fluoride unterstützen die Remineralisation.
ICON Infiltrationstherapie
Zahn-Fluorose: Was jetzt?
Alle Fälle (Nominativ, Genitiv, Dativ, Akkusativ) im Singular und Plural . 2003 wurden die diagnostischen Kriterien definiert und erst vor sieben Jahren die ersten klinischen . Es kommt in der Natur vor und wird in kalziumhaltigen Körpergeweben wie Knochen und Zähnen gefunden. Bei einer leichten Fluorose sind weitere Behandlungsschritte medizinisch gesehen nicht immer zwingend notwendig.La fluorose est une affection de l’émail des dents, provoquée par un excès de fluor. Eine ausreichende Fluoridzufuhr ist wichtig, um Zähne vor Karies zu schützen (es ersetzt natürlich nicht das Zähneputzen).Eine Fluorose tritt auf, wenn Zähne, insbesondere bei Kindern, übermäßigem Fluorid ausgesetzt sind. Substanzschonende Behandlung einer beginnenden Karies und unschöner Flecken auf den Zähnen.Das Verteilungsmuster der Fluorose ist symmetrisch, da die Amelogenese alle in Entwicklung befindlichen Zähne durch die Anwesenheit von Fluorid beeinflusst und es somit zu einer lokalisierten Dysplasie des Schmelzes kommt 21.Bedeutung von fluorose und Synonyme von fluorose, Tendenzen zum Gebrauch, Nachrichten, Bücher und Übersetzung in 25 Sprachen. Er dringt in die feinen Hohlräume ein, wird dann ausgehärtet und versiegelt die Porositäten hermetisch. A beautiful neon orange coral varnish with a slightly bluish shimmer.
Fluoroseflecken auf den Zähnen behandeln
Deswegen enthalten viele Zahnpasten Fluorid.) Im Körper kommt das meiste Fluorid in den Knochen und Zähnen vor.
Ganzheitliche Maßnahmen bei Kreidezähnen
Dental fluorosis
Dental fluorosis is a common disorder, characterized by hypomineralization of tooth enamel caused by ingestion of excessive fluoride during enamel formation. Sobald die Eltern Zahnveränderungen bei . In den meisten Fällen sieht Fluorose wie eine dünne weiße Linie auf dem Zahnschmelz aus und beeinträchtigt weder . La fluorose osseuse, quant à elle, survient surtout lorsque l’on a consommé pendant des années de l’eau potable trop fortement fluorée. Was genau eine Fluorose ist, wie sie entsteht und wie man sie von Karies im Frühstadium unterscheidet, erfährst du in diesem Artikel – und natürlich auch, was du gegen die Flecken tun kannst. Anschließend wird der Infiltrations-Kunststoff ICON appliziert.Definition, Rechtschreibung, Synonyme und Grammatik von ‚Fluorose‘ auf Duden online nachschlagen.Wenn die Zahnspange vom Kieferorthopäden dann abgenommen wird, werden diese weißen Läsionen sichtbar. Poröse, verfärbte und schmerzende Zähne bei Kindern und Jugendlichen können ein Hinweis auf sogenannte Kreidezähne sein. Un magnifique vernis orange corail fluo avec des reflets légèrement bleutés. It’s caused by overexposure to fluoride in the early years of life, when your permanent teeth are developing. Kreidezähne lassen sich . La fluorose est une pathologie généralement bénigne dont l’enjeu est principalement esthétique. ICON® in Köln beschreibt ein sehr innovatives, substanzschonendes Verfahren, mit dem wir ganz ohne Betäubung und Bohren gleich zwei Fliegen . Die dadurch entstehenden Zahnverfärbungen nennt man Dentalfluorose oder Zahnfluorose.Dental-Fluorose bei Kindern: Besonders in frühen Lebensjahren anfällig, etwa ein Viertel der Weltbevölkerung betroffen, Risiko durch Verschlucken von Zahnpasta. Es handelt sich dabei nicht um Schädigungen im Sinne einer Karies, sondern um irreversible ästhetische . Fluorose kann sowohl bei . La fluorose dentaire est à l’origine des taches blanches ou brunâtres sur les dents décrites précédemment. Quels sont les traitements de la fluorose dentaire ?
Mit Icon Vestibular White Spots an den Schneidezähnen behandeln
Fluorose: Symptome, Ursachen & Behandlung

Die Schäden, die durch die übermäßige Fluoridzufuhr entstanden sind – meist sichtbar durch unschöne weiße Flecken auf .Definition Was ist Fluorose? Fluorose ist eine Erkrankung, die das Aussehen der Zähne beeinflusst, aber keine Krankheit ist. Dies führt zu unästhetischen Verfärbungen.
Fluorosis: What It Is, Causes & Treatment
Bei einer Fluorose ist der erste und wichtigste Schritt, die überhöhte Fluoridzufuhr sofort zu stoppen. Bei der Fluorose handelt es sich um ein vermehrtes Vorhandensein von Fluor im menschlichen Körper.
Fluorose : symptômes, causes et traitement
(Siehe auch Mineralstoffe im Überblick . But there are treatments that can address the issue. Educalingo cookies are used to personalize ads and get web traffic statistics.Wenn Eltern mit ihren Kindern konsequent zu diesen Terminen gehen, können Mineralisationsstörungen wie Kreidezähne festgestellt und behandelt werden.
Was ist Fluorose?
Farbveränderungen an den Zähnen sowie zunehmend poröser Zahnschmelz als Symptome. Fluorid schützt die Zähne .Fluorose dentaire et fluorose osseuse.

It appears as a range of visual changes in enamel causing degrees of intrinsic tooth discoloration, and, in some cases, physical damage to the teeth. Vorbeugung im Kindesalter: Frühzeitige Zahnarztbesuche, Fluorose-Prophylaxe durch Vermeidung übermäßiger Fluoridzufuhr, Ratschläge zur fluoridarmen Kinderzahnpasta vom Zahnarzt.Fluorose Unter Fluorose der Zähne versteht man eine mehr oder minder ausgeprägte Verfärbung der bleibenden Zähne, weniger der Milchzähne. Schnell und effektiv. Bei Zahnfluorose ist die Produktion des Zahnschmelzes gestört, was zu besonders empfindlichen Zähnen führt. Dies führt zu einer Beeinträchtigung der Bildung des Zahnschmelzes, der normalerweise dazu dient, die Zähne vor Karies zu schützen. Fachsprachlich ist die Rede von Molarer-Inzisiven-Hypomineralisiation (MIH) oder Milchmolaren-Hypomineralisation (MMH).Der Konsum von überschüssigem Fluorid, meist aufgrund von Trinken von Wasser mit hohem Fluoridspiegel oder durch die Einnahme von Fluoridpräparaten, kann zu einer Fluorose führen, die die Zähne und Knochen angreift. Sie helfen nachweislich dabei, die Kalziumphosphate schneller in den Zahnschmelz einzubauen. Die Zahnfluorose macht sich durch weiße bis gelb-braune Verfärbungen in Form von Flecken oder Streifen auf dem Zahnschmelz bemerkbar. Ursachen, Behandlung & Kosten im Überblick: Denn White Spots auf den Zähnen sollten Sie nicht nur aus ästhetischen Gründen entfernen . chronische Fluorose: mit deutlichen Veränderungen an den Zähnen und am Skelett.Early accounts of a distinctive Colorado brown stain were paramount to discovering the link between excessive fluoride ingestion and developing a hypoplastic dentition that would later be termed dental fluorosis. In zu hoher Dosierung bewirkt Fluor das Gegenteil. Eine Fluorose entsteht durch zu hohe Fluoridzufuhr.Initialkaries kann mit einem Fluoridgel wie Elmex Gelee behandelt werden.
- Flüge Nach Maui Hawaii , Hawaii Urlaub
- Flutter Force Portrait Mode _ Forcing portrait mode makes Flutter app not responsive
- Foot Locker Berlin Standorte , Finde eine Foot Locker Filiale
- Flugverfolgung Online Echtzeit
- Flying Fox Mit Seilrutsche | Zipline AlpspitzKICK
- Flüge Dus Malta | Billige Flüge von Düsseldorf nach Malta online buchen
- For Further Information Meaning
- Flughafen Zuerich Einreisebestimmungen
- Flugzeug Abgestürzt Ostsee , Flugzeugabsturz über Ostsee: Kölner Unternehmer gestorben
- Flughafen München Taxiservice : Fly & Shuttle
- Fm4 Fernsehen Heute , Seid ihr bereit für das gefühlt beste Fest des Jahres?
- Follikuläre Zyste Ovar : Follikuläre Zysten
- Flughafen Frankfurt Main Fahrplan
- Flüstern Schont Die Stimme – Aphonie