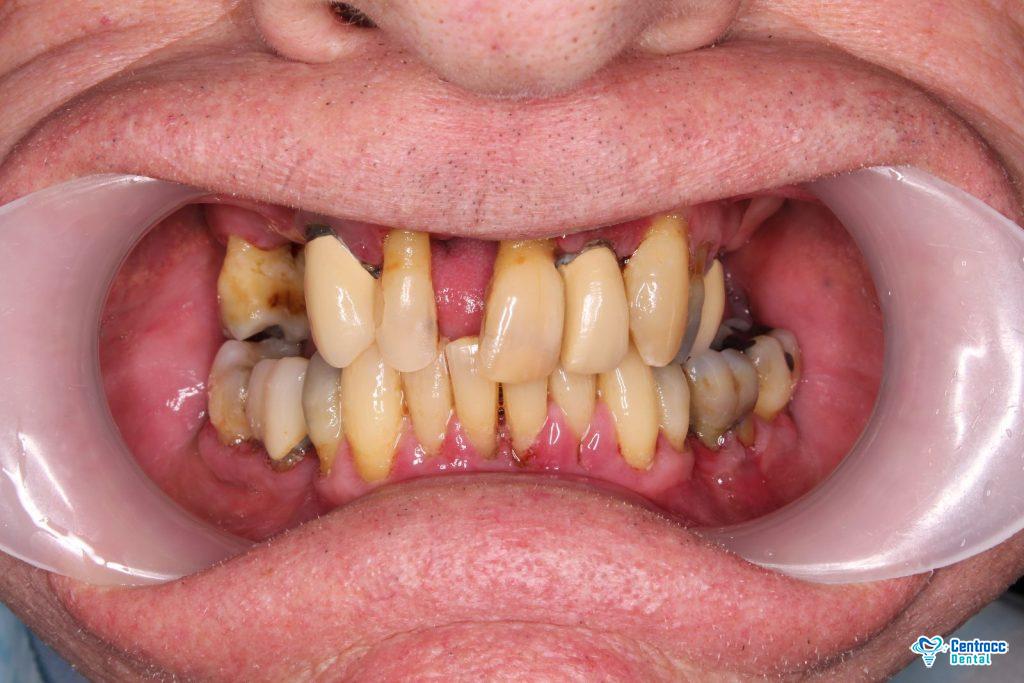
Entzündung Im Zahnfleisch _ Zahnabszess Gefährlich oder doch harmlos? Abszess am Zahnfleisch
Di: Samuel
Bemerkbar macht sich ein Abszess durch eine Hautentzündung, ähnlich einem Pickel.Wenn das Zahnfleisch blutet, geschwollen ist oder schmerzt, steckt ziemlich sicher eine Zahnfleischerkrankung dahinter.
Zahnfleischentzündung (Gingivitis)
Betrachtet die Person ihre Mundschleimhaut im Spiegel, sieht sie meist einen milchig-gelblichen Fleck, der von einem rötlichen Rand umgeben ist.Das Zahnfleisch gehört zum Zahnhalteapparat und ist von größter Bedeutung für die Zahngesundheit. Bei diesem Krankheitsbild spricht man von einer juvenilen Gingivitis, die sich auf genetische Ursachen und ein geschwächtes Immunsystem zurückführen lässt. Mangelnde Zahnhygiene gehört zu den Ursachen von Gingivitis und Parodontitis, was schon eine Studie aus dem Jahr 1965 zeigte, als Probanden mit Zahnfleischentzündung ihre Zahnhygiene einstellten und ihre Zahnfleischentzündung . Scharfkantige und spitze Speisestücke reizen das Zahnfleisch oder schädigen es.Manche Katzen haben vor allem in den ersten zwei Lebensjahren Entzündungen im Bereich der Zähne. Während die meisten an schwächeren Formen leiden, haben rund 11 Millionen von uns eine .
Zahnfleischentzündung richtig behandeln
: Entzündung des Zahnhalteapparates .Akute Zahnfleischentzündung.Zudem können sich Schwellungen an Wangen und Gesicht zeigen.Wenn sich am Zahnfleisch Taschen bilden, ist das ein Zeichen für eine fortgeschrittene Zahnfleischentzündung, auch Parodontitis genannt.Zahnabszess Symptome. Wenn Ihre weiße Blase am Zahnfleisch sich jedoch nicht bessert, gehen Sie zum Zahnarzt.Gingivitis – Zahnfleischentzündung > Die Ursachen.Es kann jedoch passieren, dass die Entzündung auf andere Teile des Zahnhalteapparats übergreift und ihn schädigt. Bei chronischen Zahnfleischentzündungen, die unbehandelt bleiben, kann es zum Zahnverlust kommen, da die Entzündung den Knochen und die Gewebe, die die Zähne stützen, . Beides hat zur Folge, dass der Zahn nicht mehr im Kieferknochen gehalten wird und sich lockert. Zahnfleischentzündung bei Katzen: Medikamente und Behandlung
Zahnfleischentzündung: So erkennen Sie Symptome
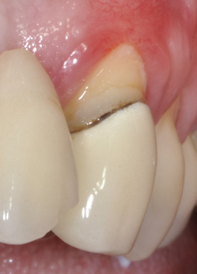
Abszess Zahnfleisch: Was ist das und wie entsteht es? Ein Abszess im Zahnfleisch entsteht durch eine Ansammlung von Eiter in einem Hohlraum im Gewebe.
Zahnfleischtaschen
12 Hierbei bildet sich das Zahnfleisch zurück, die Zahnhälse und .Aphthen treten vorwiegend im Zahnfleisch oder in der Mundschleimhaut auf, aber auch auf der Zungenspitze, an der Innenseite der Lippen oder im Gaumen. Dies ist wiederum ein Grund mehr, um keinen der regelmäßigen Vorsorgetermine und Sitzungen zur professionellen Zahnreinigung zu versäumen, um auftretende Entzündungen durch gezielte Maßnahmen abzuklären und entsprechende . Sehr häufig erzeugen die Bakterien der Gattung Streptokokken ausgedehnte Entzündungen der Mundschleimhaut, des Zahnfleisches oder des .
Zahnfleischentzündung: Alles Wissenswerte im Überblick

Sie führt sowohl zu Entzündungen des Zahnfleisches als auch zu weiteren Entzündungen im Mundraum.Nicht behandelte Zahnfleischerkrankungen können weitreichende gesundheitliche Folgeschäden verursachen, vom .Mit wenigen einfachen Tipps können Sie Ihr Zahnfleisch schützen und die Gingivitis wieder loswerden. Oft sind es Infektionen mit Bakterien, Viren oder Pilzen im Mund, die durch eine Schwächung des Immunsystems hervorgerufen werden. Die häufigsten Ursachen einer Zahnfleischentzündung Hier erklären wir Ihnen die Diagnose, wie und warum Abszesse entstehen und wie man ihnen vorbeugen und sie . Wer also langfristige Probleme mit Zähnen und . Wenn das Zahnfleisch geschwollen ist, kann dies folgende Gründe haben: falsche Mundhygiene. Zu einer Zahnfleischentzündung kommt es am häufigsten bei unzureichender Mundhygiene mit Zahnbürste und Zahnseide. Dafür kann es mehrere Ursachen .Die Erkrankung verläuft fließend, sofern die Entzündung des Zahnfleisches nicht gestoppt wird. Allerdings lässt sich die Gingivitis bei einer oberflächlichen Entzündung leicht behandeln. Mit der Zeit empfinden Betroffene ein Druckgefühl am Zahn und leichte Schmerzen. Der Zahn kann sich lockern. von Gunnar Fischer . Das Zahnfleisch ist oftmals gerötet und geschwollen.

Je nach Auslöser können weitere Beschwerden wie eine Rötung oder Schmerzen hinzukommen. Hauptsächlich entsteht die Entzündung des Zahnfleisches durch unzureichende oder auch nicht gründliche Zahnhygiene.Bei vielen Menschen entzündet sich ab und an das Zahnfleisch. Der Schmerz tritt plötzlich auf, verschlimmert sich allmählich und strahlt oftmals in die Wange, das Ohr oder den Nacken aus. Der Zahnhalteapparat besteht aus dem zahnangrenzenden Zahnfleisch, den Fasern die den Zahn festhalten und der .Die Entzündung ist tiefliegender und schwerwiegender. Entzündungen (Gingivitis oder Parodontitis) Abszesse. Eine Parodontitis . Im schlimmsten Fall kann es lokal oder generalisiert zur Lockerung der Zähne und zu Zahnverlusten zu .Eine Zahnfleischentzündung (Gingivitis) ist eine bakteriell entzündete Zahnerkranung des Mundraumes.Folgend Symptome im Zusammenhang mit dem Zahnfleisch treten vermehrt auf: Zahnfleisch & Eiter.
Zahnfleischentzündung
Wird der Abszess größer, können Symptome wie Fieber, leicht geschwollene Lymphknoten an Hals und Nacken sowie ein allgemeines Krankheitsgefühl auftreten. Dort sammeln sich gerne die Zahnfleischentzündung (Gingivitis) verursachenden Bakterien an. So ein Zahnabszess entsteht immer durch eine Entzündung, bei der Eiter gebildet wird. Dieser Eiter ist das Ergebnis einer bakteriellen Infektion, die sich in einem geschlossenen Raum, oft innerhalb des Zahnfleisches oder des umliegenden Gewebes, entwickelt. Tatsächlich haben nur die wenigsten Deutschen ein völlig gesundes Zahnfleisch. Die Ursache für diese Entzündung liegt zumeist in mangelnder Mundhygiene.2023 | 12:29 | Bei einer Parodontitis sind nicht nur Gebiss und Kiefer betroffen. Schmerzen treten meistens auf, jedoch nicht immer. In diesem Beitrag lesen Sie: Wie Sie Zahnfleischtaschen frühzeitig erkennen. Warum kommt es so häufig zu Zahnfleisch-Bluten? Gerade beim Zähneputzen fallen oft kleine Blutspritzer im Waschbecken auf.
Zahnfleischentzündung: Was tun? Wie behandeln? Hausmittel?
Tipp 1: Eine gute Mundhygiene. Er verschreibt Ihnen dann möglicherweise orale Steroide oder verwendet in schweren Fällen topische .Einleitung Eine Zahnfleischentzündung, auch Gingivitis genannt, beschreibt eine durch Bakterien ausgelöste Entzündung des Zahnfleischsaumes.
Fistel am Zahnfleisch
Eine umgehende Behandlung .Dazu gehören: Mundspülungen, lokal angewendete (topische) Mittel und orale Medikamente zur Verringerung von Schmerzen und Entzündungen.
Das sind die Symptome einer Zahnfleischentzündung
Das kann verschiedene Ursachen haben.
Parodontitis: Symptome, Behandlung, Vorbeugung
An der abgestorbenen Pulpa bildet sich Eiter, der rasch für Schwellungen im Zahnfleisch oder im gesamten Wangenbereich sorgt. Der Zahnhalteapparat ist nicht betroffen, jedoch kann eine unbehandelte Gingivitis in eine Parodontitis übergehen. Gelegentliche Blutungen können auftreten und hinzu kommt eine Art pochendes Gefühl.Damit sich Ihr Zahnfleisch nicht entzündet und die Entstehung weiterer Krankheiten begünstigt, können Sie vorbeugend einiges tun: Halten Sie eine gründliche Mundhygiene ein und putzen zwei Mal täglich die Zähne.Die Ursachen für Entzündungen im Mund sind vielfältig. Lesen Sie mehr zum Thema: Zahnfleischentzündung Eiter. Zu den häufigsten Ursachen einer Gingivitis zählen: nicht ausreichende Mundhygiene. Wie Sie der Entstehung von Zahnfleischtaschen vorbeugen.Die Behandlung von Eiter im Zahnfleisch richtet sich nach der Ursache und Schwere der Infektion. Meist macht eine Zahnfleischentzündung zunächst keine großen Probleme.Parodontaler Abszess – Den findet man im Zahnfleisch oder neben der Zahnwurzel.Zahnfleischentzündung: Diese Möglichkeiten der Behandlung gibt es.Entzündung des Zahnfleischs: Parodontitis kann den Körper krank machen.
Zahnabszess Gefährlich oder doch harmlos? Abszess am Zahnfleisch
Die für eine Fistel am Zahnfleisch typischen Schmerzen nehmen auf Grund des steigenden Drucks an der Zahnwurzelspitze deutlich .
Gingivitis (Zahnfleischentzündung): Symptome & Behandlung
Dabei heißt die Devise nicht „öfter putzen“, sondern „gründlicher putzen“. Zahnfisteln heilen in der Regel nicht von alleine ab und erfordern . Tipp: Halten Sie ein Loch im Zahnfleisch sauber von Speiseresten. Auch Hormone, beispielsweise in der Schwangerschaft, Pubertät oder während der Periode begünstigen die Entstehung einer . Das alles sind Anzeichen . Nun spricht man von einer Parodontitis. Zudem ist das Zahnfleisch unnatürlich gerötet. Dadurch, dass das Zahnfleisch nicht mehr an der Zahnoberfläche haftet, weitet sich die Zahnfleischtasche (die Lücke zwischen Zahn und Zahnfleisch wird größer & Bakterien können sich leichter festsetzen). Trauma durch Unfall oder Verletzung.Virusinfektionen: Herpesviren können die sogenannte Mundfäule (Stomatitis aphthosa) auslösen. Studien belegen jedoch, dass einige Menschen eher zur Entzündung neigen als andere.
Zahnabszess
Bei einer Parodontitis ist die Entzündung des Zahnfleisches bereits auf den Zahnhalteapparat übergegangen. Welche Folgen . Dann spricht man von einer Parodontitis (umgangssprachlich „Parodontose“). Zur Erklärung: Der Zahnhalteapparat umgibt den Zahn . Das Ergebnis: Rötungen, geschwollenes Zahnfleisch & natürlich Schmerzen. Entzündungen im Mund können sowohl die Zähne als auch das Zahnfleisch erheblich beeinträchtigen. Zerdrücke dafür eine Knoblauchzehe und halte den Knoblauchbrei an die .Wie sich Entzündungen auf Zähne und Zahnfleisch auswirken.Eine ganze Reihe an Vitaminen und Mineralstoffen sorgen dafür, dass bei Ihrem Zahnfleisch alles im Lot bleibt.Ernährung beeinflusst Entzündung des Zahnfleisches mehr als Zahnhygiene. Reinigen Sie die Zahnzwischenräume sorgfältig. Typisch für Eiterzähne sind dick-geschwollene Backen. Typische Beschwerden sind dabei Zahnfleischbluten, Zahnschmerzen und Schwellungen des Zahnfleisches. Dabei kommt es im Mundraum zu einem großen Bakterienwachstum und diese greifen das Zahnfleisch an. Auch wenn das Zahnfleisch bereits entzündet ist, ist eine sorgfältige Mundhygiene besonders wichtig. Anfangs verursacht eine Fistel im Mund keine spürbaren Symptome.Setzt sich dies immer weiter fort, überträgt sich die Entzündung auch auf den Zahnhalteapparat.Ein bevorzugt vom Zahnarzt sichtbares Symptom ist ein stark rötlich gefärbtes Zahnfleisch im Bereich der Implantate. Weitere Auslöser einer Zahnfleischentzündung bei Katzen sind z.Darum blutet dein Zahnfleisch so oft. Alternative Behandlungsarten
Was tun bei Zahnfleischentzündung?
Abszess im Mund & am Zahnfleisch
Häufig kommen Hausmittel zum Einsatz, die allerdings nicht die alleinige Behandlung darstellen . Sie ist sogar die häufigste Entzündung im menschlichen Körper.Diese können eine fortschreitende Zahnfleischentzündung auslösen bis hin zur Entzündung des gesamten Zahnbettes mit einem im Röntgenbild sichtbaren Knochenabbau um den Zahn.Ursachen einer Zahnfleischentzündung bei der Katze Die häufigste Ursache für eine Zahnfleischentzündung ist der Zahnstein. Zum Zahnhalteapperat gehört auch der Faserapparat, an dem die Zähne im Zahnfach aufgehängt sind, und der Kieferknochen, der dem Zahn Stabilität gibt, und dem Zahnfleisch eine Form. Außerdem schmerzt und . Zahnprobleme bemerken viele Menschen meist erst dann, wenn es zu dem ziehenden Schmerz beim Genuss von heißen und kalten Getränken kommt. Was oftmals mit empfindlichen Zähnen oder freiliegenden Zahnhälsen . Wie die Behandlung verläuft (messen und reinigen). Entstehen die Schmerzen jedoch nicht am Zahnfleisch, sondern im Knochen, ist dies ein Zeichen dafür, dass sich der Knochen um- bzw. Im Verlauf einer unbehandelten .Aber auch im normalen Alltag können viele Menschen Entzündungen vorbeugen. Tritt ein Abszess als Folge einer Entzündung im Mund auf, lässt das die tägliche Nahrungsaufnahme zu einem unangenehmen Vorgang werden.; Pilzinfektionen: Candida albicans (eine . An einer sichtbaren Schwellung und Rötung der Gingiva ist eine Gingivitis erkennbar.

Dieser Eiter schafft sich im Körper einen Hohlraum, der vom Körper gegen das angrenzende Gewebe abgekapselt wird. Knoblauch gehört zu den vielseitigsten Heilpflanzen überhaupt, er ist ein effektives Hausmittel bei zahlreichen Erkrankungen. Vor allen Dingen saure Speisen und Getränke lösen einen ziehenden Schmerz aus.Zahnfleischentzündung (Gingivitis) Gingivitis ist eine milde Form der Parodontitis (Erkrankung des Zahnhalteapparats), die durch eine Entzündung des Zahnfleischs (Gingiva) gekennzeichnet ist.
Zahnfleisch geschwollen: Was Sie unternehmen können
Wenn bereits ein Loch im Zahnfleisch oder eine Entzündung vorliegt, sollten Sie Alkohol, Nikotin sowie stark zuckerhaltige Getränke vermeiden. Eine zahngesunde Ernährung kann Ihnen also helfen, Entzündungen im Mundraum zu vermeiden. Eiterblase als Abwehrreaktion: Eine Eiterblase am Zahnfleisch entsteht als Reaktion des Immunsystems auf Bakterien, die .Bleibt die akute Zahnfleischentzündung unbehandelt, kann sich daraus eine chronische Gingivitis entwickeln.Selten können mechanische Auslöser, zum Beispiel ein Schlag auf den Zahn oder Zähneknirschen, die Entzündung auslösen. Diese können die Heilung verzögern oder sogar eine weitere Entzündung provozieren.Das Zahnfleisch rötet sich bei Entzündung und schwillt an und kann dadurch bei Berührung sehr stark schmerzen und bluten. Bei Zahnfleischentzündungen helfen seine entzündungshemmenden, antibakteriellen Inhaltsstoffe.Schmerzendes Zahnfleisch und Zahnfleischentzündungen sind ein häufig auftretendes Problem, das ungefähr die Hälfte der Erwachsenen in Deutschland betrifft. Eine gute Mundhygiene bessert nicht nur die Zahnfleischentzündung, sondern verhindert auch, dass sich die Entzündung bis auf den Zahnhalteapparat ausweitet. Dadurch entsteht eine mit Eiter gefüllte . In diesem fortgeschrittenen Stadium ist also nicht mehr nur das Zahnfleisch, sondern auch der Kieferknochen entzündet.Erste Anzeichen einer Entzündung: Zunächst verfärbt sich das Zahnfleisch rot und schwillt an.
Zahnentzündung
Dies kann durchaus zu Entzündungen führen. Weitere virale Erreger sind HI-Virus, Epstein-Barr-Virus und Zytomegalie-Virus.Nicht selbst aufstechen: Man sollte niemals versuchen, einen Zahnabszess oder eine Eiterblase am Zahnfleisch selbst aufzustechen, da dies die Entzündung verschlimmern und die Heilung verzögern kann. Sind die Fasern von der Entzündung betroffen, kommt es zu . Das typischste Symptom eines Zahnabszesses ist ein pochender Schmerz im Zahn und im umliegenden Zahnfleisch sowie Knochen. Die akute Zahnfleischentzündung ist besonders weit verbreitet und tritt meistens schon im jugendlichen Alter auf.Eine Zahnfistel entsteht oft durch eine bakterielle Entzündung der Zahnwurzel. Bricht der Abszess von selbst auf, verbreitet der .Im Bereich der Fistel am Zahnfleisch, die sich zu diesem Zeitpunkt in der Regel als kleine Blase darstellt, kommt es zu einer zunehmenden Eiteransammlung. Verwenden Sie möglicherweise .

Zahnfleischerkrankungen: Ursachen, Vorbeugung, Behandlung
In den meisten Fällen führt mangelnde Hygiene zu Zahnproblemen und Entzündungen des Zahnfleisches (Gingivitis). Wenn Sie bereits dick geschwollene Backen haben, ist das ein Anzeichen dafür, dass sich Eiter gebildet hat. Der Begriff Parodontose ist fälschlicherweise im Sprachgebrauch.


Wird die Entzündung allerdings nicht behandelt, schreitet die Entzündung fort und greift auf die benachbarten Strukturen über: Das Zahnfleisch geht zurück und die Entzündung kann auf den Knochen übergreifen. Auch eine nicht oder nur unzureichend behandelte Parodontitis kann vom Zahnhalteapparat auf die Zahnwurzel übergreifen und diese entzünden. Bei sehr weit fortgeschrittenem Knochenabbau bewegt sich das Implantat . kleine Verletzungen oder Abschürfungen. Hier sind einige gängige Behandlungsmethoden: Hier sind einige gängige Behandlungsmethoden: Zahnärztliche Reinigung : Eine professionelle Reinigung entfernt Zahnbelag und Zahnstein und hilft so, die Infektion zu reduzieren und das Risiko . Die Zahnbeläge sollten Sie effektiv entfernen.
- Episode 6 | Episode
- Entstehung Von Zwillingen _ Die Entstehung von Zwillingen
- Entsorgen In Der Nähe – Entsorgung von Betonabbruch » Mit diesen Kosten ist zu rechnen
- Entspannungsanleitung , Einleitung der Entspannung
- Epodex Kaufen | Flüssigharz für Boden und Tische online kaufen bei EPODEX
- Entfernung Narvik Nordkapp _ Entfernung von Nordkap-Norwegen → Narvik
- Enthaltungen Nach Dem Weg : WEG-Novelle
- Enzyme Wirkung Im Leben : Was können Enzyme in der Biotechnologie leisten?
- Epson Scan Einrichten Windows 10
- Epidermoidzyste Haut – Hauterkrankungen: Blickdiagnose
- Entstehung Von Graphit | Diamant und Graphit
- Entrümpelung Hamburg Preis | Container für Entrümpelung mieten
- Entführung 2009 Teil 2 : Castle 097 Entführt